Tel:
+49 (0)241 95 163 153
Fax:
+49 (0)241 95 163 155
E-Mail:
orders@anticorps-enligne.fr

USP26 anticorps (AA 664-913)

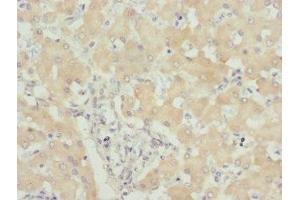
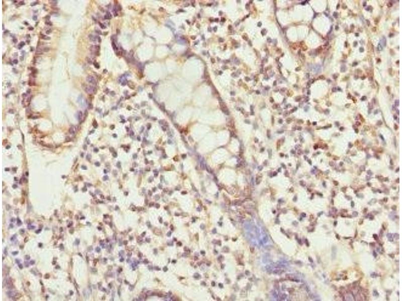
Cet anticorps anti-USP26 Polyclonal Lapin (ABIN7174300) détecte spécifiquement USP26 dans WB, ELISA et IHC. L’anticorps est réactif avec des échantillons de Humain.
N° du produit ABIN7174300
328,90 €
Plus frais de livraison 40,00 € et TVA
Destination: France
Envoi sous 11 à 15 jours ouvrables

Aperçu rapide pour USP26 anticorps (AA 664-913) (ABIN7174300)

Antigène

Voir toutes USP26 Anticorps
USP26 (Ubiquitin Specific Peptidase 26 (USP26))

Reactivité

  • 15
  • 3
  • 2
  • 1
Humain

Hôte

  • 13
  • 2
Lapin

Clonalité

  • 13
  • 2
Polyclonal

Conjugué

  • 10
  • 1
  • 1
  • 1
  • 1
  • 1
Cet anticorp USP26 est non-conjugé

Application

  • 12
  • 9
  • 7
  • 1
  • 1
  • 1
Western Blotting (WB), ELISA, Immunohistochemistry (IHC)
  • Épitope

    • 10
    • 2
    • 1
    • 1
    • 1
    • 1
    AA 664-913

    Fonction

    USP26 Antibody

     Réactivité croisée

    Souris

    Purification

    Antigen Affinity Purified

    Immunogène

    Recombinant Human Ubiquitin carboxyl-terminal hydrolase 26 protein (664-913AA)

    Isotype

    IgG
  • Indications d'application

    Optimal working dilution should be determined by the investigator.

    Restrictions

    For Research Use only
  • Format

    Liquid

    Buffer

    PBS with 0.02 % sodium azide, 50 % glycerol, pH 7.3.

    Agent conservateur

    Sodium azide

    Précaution d'utilisation

    This product contains Sodium azide: a POISONOUS AND HAZARDOUS SUBSTANCE which should be handled by trained staff only.

    Stock

    -20 °C,-80 °C

    Stockage commentaire

    Upon receipt, store at -20°C or -80°C. Avoid repeated freeze.
  • Antigène

    USP26 (Ubiquitin Specific Peptidase 26 (USP26))

    Autre désignation

    USP26

    Sujet

    Background: Involved in the ubiquitin-dependent proteolytic pathway in conjunction with the 26S proteasome (By similarity). Deubiquitinates the androgen receptor and regulates the androgen receptor signaling pathway.

    Aliases: Deubiquitinating enzyme 26 antibody, MGC120066 antibody, MGC120067 antibody, MGC120068 antibody, Ubiquitin carboxyl terminal hydrolase 26 antibody, Ubiquitin carboxyl-terminal hydrolase 26 antibody, Ubiquitin specific peptidase 26 antibody, Ubiquitin specific processing protease 26 antibody, Ubiquitin specific protease 26 antibody, Ubiquitin thioesterase 26 antibody, Ubiquitin thiolesterase 26 antibody, Ubiquitin-specific-processing protease 26 antibody, UBP26_HUMAN antibody, USP 26 antibody, USP26 antibody

    UniProt

    Q9BXU7
Vous êtes ici:
Chat with us!