×
Pour une meilleure utilisation, nous vous conseillons d’activer Javascript dans votre navigateur.
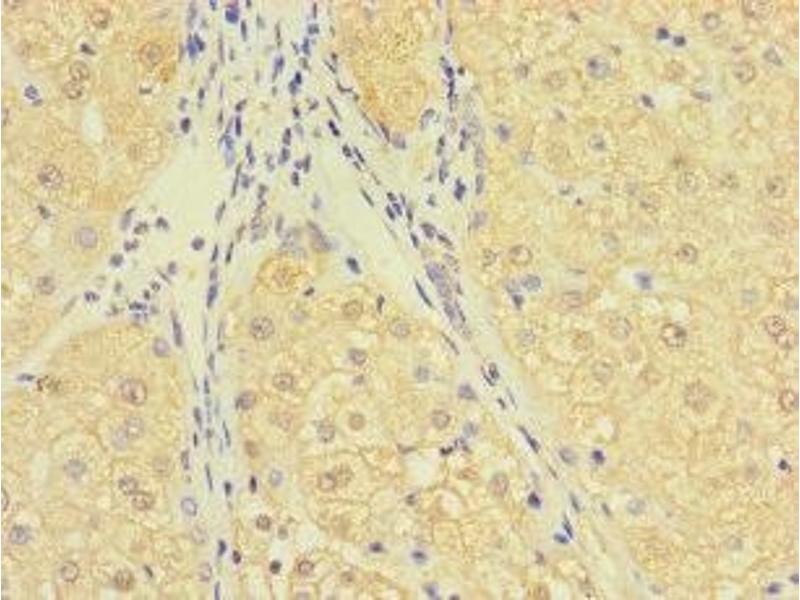
C10ORF111 anticorps (AA 1-114)
L’anticorps anti-C10ORF111 Polyclonal Lapin est utilisé pour la détection de C10ORF111 dans des échantillons de Humain. Il a été validé pour ELISA, IHC et IF.
N° du produit ABIN7174695
328,90 €
Plus frais de livraison 40,00 € et TVA
50 μg ABIN7357742
100 μg ABIN7174695
50 μg ABIN7357742
100 μg ABIN7174695
Envoi sous 11 à 15 jours ouvrables
Aperçu rapide pour C10ORF111 anticorps (AA 1-114) (ABIN7174695)
Antigène
C10ORF111
(Chromosome 10 Open Reading Frame 111 (C10ORF111))
Reactivité
Humain
Hôte
Toutes les hôtes sur C10ORF111 Anticorps
Lapin
Clonalité
Toutes les clonalités sur C10ORF111 Anticorps
Polyclonal
Conjugué
Tous les conjugués à travers C10ORF111 Anticorps
Cet anticorp C10ORF111 est non-conjugé
Application
ELISA, Immunohistochemistry (IHC), Immunofluorescence (IF)
Détail du produit anti-C10ORF111 anticorps
(cache)
Épitope
AA 1-114
Fonction
C10orf111 Antibody
Purification
Protein G purified
Pureté
>95 %
Immunogène
Recombinant Human Uncharacterized protein C10orf111 protein (1-114AA)
Isotype
IgG
Alternatives
(show)
Information d'application
(cache)
Indications d'application
Optimal working dilution should be determined by the investigator.
Restrictions
For Research Use only
Stockage
(cache)
Format
Liquid
Buffer
Preservative: 0.03 % Proclin 300 Constituents: 50 % Glycerol, 0.01M PBS, PH 7.4
Agent conservateur
ProClin
Précaution d'utilisation
This product contains ProClin: a POISONOUS AND HAZARDOUS SUBSTANCE which should be handled by trained staff only.
Stock
-20 °C,-80 °C
Stockage commentaire
Upon receipt, store at -20°C or -80°C. Avoid repeated freeze.
Détails sur C10ORF111
(cache)
Antigène
C10ORF111
(Chromosome 10 Open Reading Frame 111 (C10ORF111))
Autre désignation
C10orf111
Sujet
C10orf111Uncharacterized protein C10orf111 antibody
UniProt
Q8N326
Vus récemment
(cache)
Chat with us , powered by LiveChat