Tel:
+49 (0)241 95 163 153
Fax:
+49 (0)241 95 163 155
E-Mail:
orders@anticorps-enligne.fr

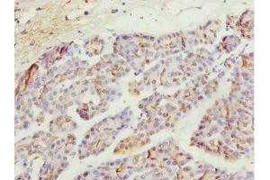
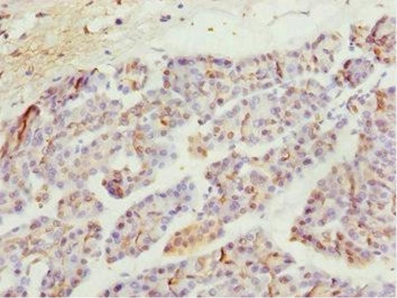
MYO5C anticorps (AA 270-420)

L’anticorps anti-MYO5C Polyclonal Lapin est utilisé pour la détection de MYO5C dans des échantillons de Humain. Il a été validé pour ELISA et IHC.
N° du produit ABIN7174959
328,90 €
Plus frais de livraison 40,00 € et TVA
Destination: France
Envoi sous 11 à 15 jours ouvrables

Aperçu rapide pour MYO5C anticorps (AA 270-420) (ABIN7174959)

Antigène

MYO5C

Reactivité

  • 8
  • 2
  • 2
Humain

Hôte

  • 5
  • 3
Lapin

Clonalité

  • 8
Polyclonal

Conjugué

  • 8
Cet anticorp MYO5C est non-conjugé

Application

  • 8
  • 3
  • 1
  • 1
ELISA, Immunohistochemistry (IHC)
  • Épitope

    • 2
    • 2
    • 1
    AA 270-420

    Fonction

    MYO5C Antibody

    Purification

    Antigen Affinity Purified

    Immunogène

    Recombinant Human Unconventional myosin-Vc protein (270-420AA)

    Isotype

    IgG
  • Indications d'application

    Optimal working dilution should be determined by the investigator.

    Restrictions

    For Research Use only
  • Format

    Liquid

    Buffer

    PBS with 0.02 % sodium azide, 50 % glycerol, pH 7.3.

    Agent conservateur

    Sodium azide

    Précaution d'utilisation

    This product contains Sodium azide: a POISONOUS AND HAZARDOUS SUBSTANCE which should be handled by trained staff only.

    Stock

    -20 °C,-80 °C

    Stockage commentaire

    Upon receipt, store at -20°C or -80°C. Avoid repeated freeze.
  • Antigène

    MYO5C

    Sujet

    Background: May be involved in transferrin trafficking. Likely to power actin-based membrane trafficking in many physiologically crucial tissues.

    Aliases: MGC74969 antibody, MYO5C antibody, MYO5C_HUMAN antibody, Myosin 5C antibody, myosin VC antibody, Unconventional myosin-Vc antibody

    UniProt

    Q9NQX4
Vous êtes ici:
Chat with us!