×
Pour une meilleure utilisation, nous vous conseillons d’activer Javascript dans votre navigateur.
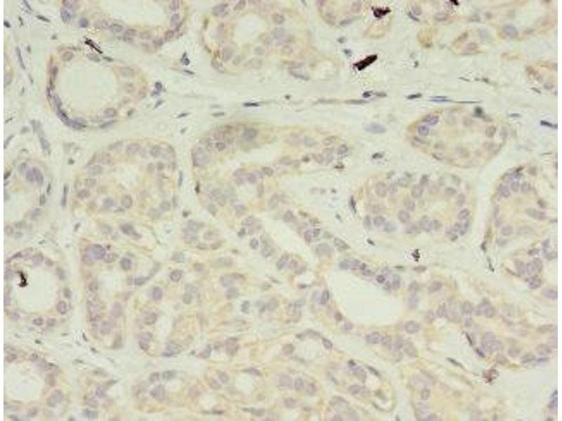
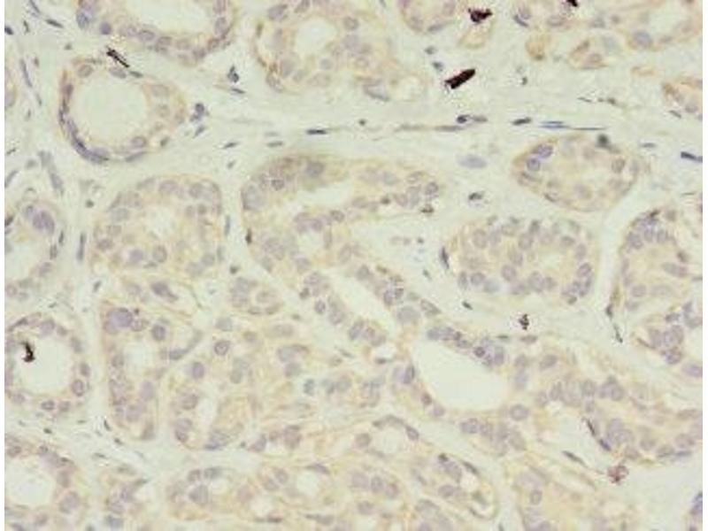
VSIG2 anticorps (AA 24-243)
Cet anticorps anti-VSIG2 Polyclonal Lapin (ABIN7175188) détecte spécifiquement VSIG2 dans ELISA et IHC.
L’anticorps est réactif avec des échantillons de Humain.
N° du produit ABIN7175188
328,90 €
Plus frais de livraison 40,00 € et TVA
50 μg ABIN7357406
100 μg ABIN7175188
50 μg ABIN7357406
100 μg ABIN7175188
Envoi sous 11 à 15 jours ouvrables
Aperçu rapide pour VSIG2 anticorps (AA 24-243) (ABIN7175188)
Antigène
Voir toutes VSIG2 Anticorps
VSIG2
(V-Set and Immunoglobulin Domain Containing 2 (VSIG2))
Reactivité
Toutes les réactivités sur VSIG2 Anticorps
Humain
Hôte
Toutes les hôtes sur VSIG2 Anticorps
Lapin
Clonalité
Toutes les clonalités sur VSIG2 Anticorps
Polyclonal
Conjugué
Tous les conjugués à travers VSIG2 Anticorps
Cet anticorp VSIG2 est non-conjugé
Application
Tous les applications à travers VSIG2 Anticorps.
ELISA, Immunohistochemistry (IHC)
Détail du produit anti-VSIG2 anticorps
(cache)
Épitope
Tous les épitopes à travers VSIG2 Anticorps.
AA 24-243
Fonction
VSIG2 Antibody
Purification
Protein G purified
Pureté
>95 %
Immunogène
Recombinant Human V-set and immunoglobulin domain-containing protein 2 protein (24-243AA)
Isotype
IgG
Alternatives
(show)
Information d'application
(cache)
Indications d'application
Optimal working dilution should be determined by the investigator.
Restrictions
For Research Use only
Stockage
(cache)
Format
Liquid
Buffer
Preservative: 0.03 % Proclin 300 Constituents: 50 % Glycerol, 0.01M PBS, PH 7.4
Agent conservateur
ProClin
Précaution d'utilisation
This product contains ProClin: a POISONOUS AND HAZARDOUS SUBSTANCE which should be handled by trained staff only.
Stock
-20 °C,-80 °C
Stockage commentaire
Upon receipt, store at -20°C or -80°C. Avoid repeated freeze.
Détails sur VSIG2
(cache)
Antigène
VSIG2
(V-Set and Immunoglobulin Domain Containing 2 (VSIG2))
Autre désignation
VSIG2
Sujet
2210413P10Rik antibody, cortical thymocyte receptor (X. laevis CTX) like antibody, Cortical thymocyte-like protein antibody, CT-like protein antibody, CTH antibody, Ctm antibody, CTXL antibody, OTTHUMP00000197171 antibody, OTTHUMP00000197172 antibody, V set and immunoglobulin domain containing 2 antibody, V-set and immunoglobulin domain-containing protein 2 antibody, VSIG2 antibody, VSIG2_HUMAN antibody
UniProt
Q96IQ7
Vus récemment
(cache)
Chat with us , powered by LiveChat