Tel:
+49 (0)241 95 163 153
Fax:
+49 (0)241 95 163 155
E-Mail:
orders@anticorps-enligne.fr

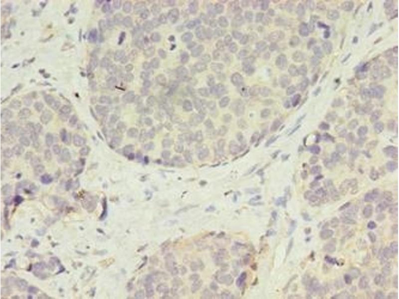
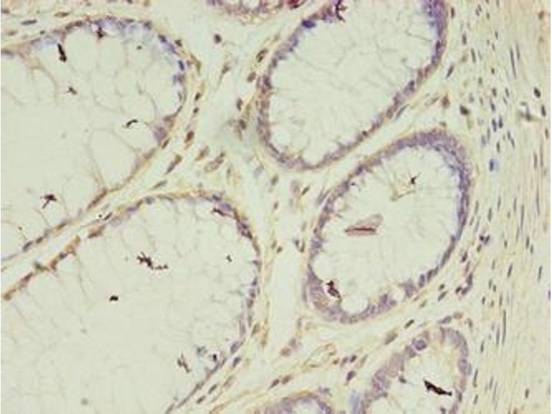
Vasohibin 2 anticorps (AA 1-156)

L’anticorps anti-Vasohibin 2 Polyclonal Lapin est utilisé pour la détection de Vasohibin 2 dans des échantillons de Humain. Il a été validé pour ELISA et IHC.
N° du produit ABIN7175400
328,90 €
Plus frais de livraison 40,00 € et TVA
Destination: France
Envoi sous 11 à 15 jours ouvrables

Aperçu rapide pour Vasohibin 2 anticorps (AA 1-156) (ABIN7175400)

Antigène

Voir toutes Vasohibin 2 (VASH2) Anticorps
Vasohibin 2 (VASH2)

Reactivité

  • 31
  • 12
  • 1
Humain

Hôte

  • 30
  • 1
Lapin

Clonalité

  • 30
  • 1
Polyclonal

Conjugué

  • 11
  • 5
  • 3
  • 3
  • 2
  • 1
  • 1
  • 1
  • 1
  • 1
  • 1
  • 1
Cet anticorp Vasohibin 2 est non-conjugé

Application

  • 19
  • 16
  • 11
  • 2
  • 1
  • 1
ELISA, Immunohistochemistry (IHC)
  • Épitope

    • 8
    • 7
    • 4
    • 4
    • 2
    AA 1-156

    Fonction

    VASH2 Antibody

    Purification

    Protein G purified

    Pureté

    >95 %

    Immunogène

    Recombinant Human Vasohibin-2 protein (1-156AA)

    Isotype

    IgG
  • Indications d'application

    Optimal working dilution should be determined by the investigator.

    Restrictions

    For Research Use only
  • Format

    Liquid

    Buffer

    Preservative: 0.03 % Proclin 300
    Constituents: 50 % Glycerol, 0.01M PBS, PH 7.4

    Agent conservateur

    ProClin

    Précaution d'utilisation

    This product contains ProClin: a POISONOUS AND HAZARDOUS SUBSTANCE which should be handled by trained staff only.

    Stock

    -20 °C,-80 °C

    Stockage commentaire

    Upon receipt, store at -20°C or -80°C. Avoid repeated freeze.
  • Antigène

    Vasohibin 2 (VASH2)

    Autre désignation

    VASH2

    Sujet

    Background: Angiogenesis inhibitor. Inhibits network formation by endothelial cells.

    Aliases: FLJ12505 antibody, OTTHUMP00000035013 antibody, OTTHUMP00000035017 antibody, OTTHUMP00000228345 antibody, OTTHUMP00000228346 antibody, OTTHUMP00000228347 antibody, RP11-275G3.1 antibody, VASH2 antibody, VASH2_HUMAN antibody, Vasohibin-2 antibody, Vasohibin-like protein antibody

    UniProt

    Q86V25
Vous êtes ici:
Chat with us!