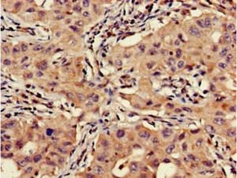
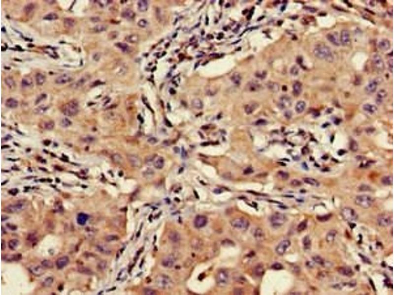
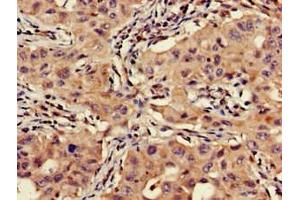
VTI1A anticorps (AA 1-175)
Aperçu rapide pour VTI1A anticorps (AA 1-175) (ABIN7175463)
Antigène
Voir toutes VTI1A AnticorpsReactivité
Hôte
Clonalité
Conjugué
Application
-
-
Épitope
- AA 1-175
-
Fonction
- VTI1A Antibody
-
Purification
- Protein G purified
-
Pureté
- >95 %
-
Immunogène
- Recombinant Human Vesicle transport through interaction with t-SNAREs homolog 1A protein (1-175AA)
-
Isotype
- IgG
-
-
-
-
Indications d'application
- Optimal working dilution should be determined by the investigator.
-
Restrictions
- For Research Use only
-
-
-
Format
- Liquid
-
Buffer
-
Preservative: 0.03 % Proclin 300
Constituents: 50 % Glycerol, 0.01M PBS, pH 7.4 -
Agent conservateur
- ProClin
-
Précaution d'utilisation
- This product contains ProClin: a POISONOUS AND HAZARDOUS SUBSTANCE which should be handled by trained staff only.
-
Stock
- -20 °C,-80 °C
-
Stockage commentaire
- Upon receipt, store at -20°C or -80°C. Avoid repeated freeze.
-
-
- VTI1A (Vesicle Transport through Interaction with t-SNAREs 1A (VTI1A))
-
Autre désignation
- VTI1A
-
Sujet
-
Background: V-SNARE that mediates vesicle transport pathways through interactions with t-SNAREs on the target membrane. These interactions are proposed to mediate aspects of the specificity of vesicle trafficking and to promote fusion of the lipid bilayers. Involved in vesicular transport from the late endosomes to the trans-Golgi network. Along with VAMP7, involved in an non-conventional RAB1-dependent traffic route to the cell surface used by KCNIP1 and KCND2. May be involved in increased cytokine secretion associated with cellular senescence.
Aliases: MMDS3 antibody, MVti1 antibody, SNARE Vti1a beta protein antibody, Vesicle transport through interaction with t-SNAREs homolog 1A antibody, Vesicle transport through interaction with tSNAREs homolog 1A (yeast) antibody, Vesicle transport v-SNARE protein Vti1-like 2 antibody, Vti1 rp2 antibody, Vti1-rp2 antibody, Vti1a antibody, VTI1A vesicle transport through interaction with t-SNAREs 1A antibody, VTI1A_HUMAN antibody, VTI1RP2 antibody
-
UniProt
- Q96AJ9
Antigène
-