RPGR anticorps (AA 1-180)
Aperçu rapide pour RPGR anticorps (AA 1-180) (ABIN7175887)
Antigène
Voir toutes RPGR AnticorpsReactivité
Hôte
Clonalité
Conjugué
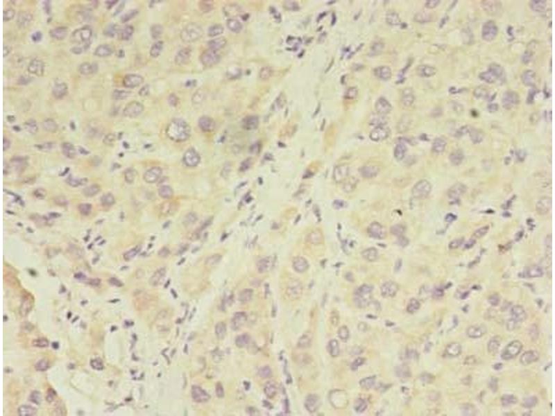
Application
-
-
Épitope
- AA 1-180
-
Fonction
- RPGR Antibody
-
Purification
- Protein G purified
-
Pureté
- >95 %
-
Immunogène
- Recombinant Human X-linked retinitis pigmentosa GTPase regulator protein (1-180AA)
-
Isotype
- IgG
-
-
-
-
Indications d'application
- Optimal working dilution should be determined by the investigator.
-
Restrictions
- For Research Use only
-
-
-
Format
- Liquid
-
Buffer
-
Preservative: 0.03 % Proclin 300
Constituents: 50 % Glycerol, 0.01M PBS, PH 7.4 -
Agent conservateur
- ProClin
-
Précaution d'utilisation
- This product contains ProClin: a POISONOUS AND HAZARDOUS SUBSTANCE which should be handled by trained staff only.
-
Stock
- -20 °C,-80 °C
-
Stockage commentaire
- Upon receipt, store at -20°C or -80°C. Avoid repeated freeze.
-
-
- RPGR (Retinitis Pigmentosa GTPase Regulator (RPGR))
-
Autre désignation
- RPGR
-
Sujet
-
Background: Could be a guanine-nucleotide releasing factor. Plays a role in ciliogenesis. Probably regulates cilia formation by regulating actin stress filaments and cell contractility. Plays an important role in photoreceptor integrity. May play a critical role in spermatogenesis and in intraflagellar transport processes (By similarity). May be involved in microtubule organization and regulation of transport in primary cilia.
Aliases: RPGR antibody, RP3 antibody, XLRP3 antibody, X-linked retinitis pigmentosa GTPase regulator antibody
-
UniProt
- Q92834
Antigène
-