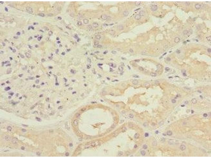
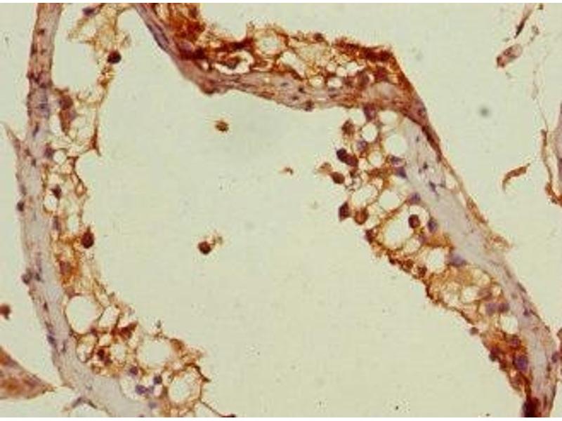
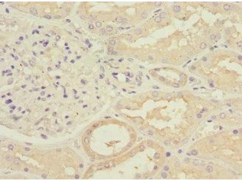
RPGRIP1 anticorps (AA 400-580)
Aperçu rapide pour RPGRIP1 anticorps (AA 400-580) (ABIN7175891)
Antigène
Voir toutes RPGRIP1 AnticorpsReactivité
Hôte
Clonalité
Conjugué
Application
-
-
Épitope
- AA 400-580
-
Fonction
- RPGRIP1 Antibody
-
Purification
- Antigen Affinity Purified
-
Immunogène
- Recombinant Human X-linked retinitis pigmentosa GTPase regulator-interacting protein 1 protein (400-580AA)
-
Isotype
- IgG
-
-
-
-
Indications d'application
- Optimal working dilution should be determined by the investigator.
-
Restrictions
- For Research Use only
-
-
-
Format
- Liquid
-
Buffer
- PBS with 0.02 % sodium azide, 50 % glycerol, pH 7.3.
-
Agent conservateur
- Sodium azide
-
Précaution d'utilisation
- This product contains Sodium azide: a POISONOUS AND HAZARDOUS SUBSTANCE which should be handled by trained staff only.
-
Stock
- -20 °C,-80 °C
-
Stockage commentaire
- Upon receipt, store at -20°C or -80°C. Avoid repeated freeze.
-
-
- RPGRIP1 (Retinitis Pigmentosa GTPase Regulator Interacting Protein 1 (RPGRIP1))
-
Autre désignation
- RPGRIP1
-
Sujet
-
Background: May function as scaffolding protein. Required for normal location of RPGR at the connecting cilium of photoreceptor cells. Required for normal disk morphogenesis and disk organization in the outer segment of photoreceptor cells and for survival of photoreceptor cells.
Aliases: RPGRIP1 antibody, X-linked retinitis pigmentosa GTPase regulator-interacting protein 1 antibody, RPGR-interacting protein 1 antibody
-
UniProt
- Q96KN7
Antigène
-