Tel:
+49 (0)241 95 163 153
Fax:
+49 (0)241 95 163 155
E-Mail:
orders@anticorps-enligne.fr

YY1AP1 anticorps (AA 335-466)

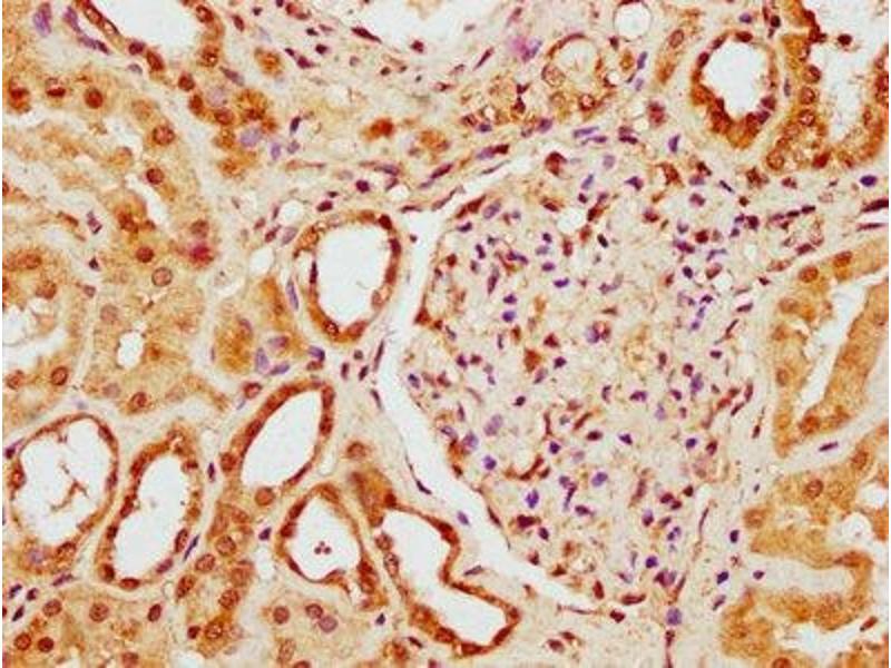
L’anticorps anti-YY1AP1 Polyclonal Lapin est utilisé pour la détection de YY1AP1 dans des échantillons de Humain. Il a été validé pour WB, ELISA, IF et IHC.
N° du produit ABIN7175958
328,90 €
Plus frais de livraison 40,00 € et TVA
Destination: France
Envoi sous 11 à 15 jours ouvrables

Aperçu rapide pour YY1AP1 anticorps (AA 335-466) (ABIN7175958)

Antigène

Voir toutes YY1AP1 Anticorps
YY1AP1 (YY1 Associated Protein 1 (YY1AP1))

Reactivité

  • 22
  • 2
  • 2
  • 1
Humain

Hôte

  • 20
  • 2
Lapin

Clonalité

  • 20
  • 2
Polyclonal

Conjugué

  • 13
  • 1
  • 1
  • 1
  • 1
  • 1
  • 1
  • 1
  • 1
  • 1
Cet anticorp YY1AP1 est non-conjugé

Application

  • 13
  • 7
  • 1
  • 1
  • 1
  • 1
  • 1
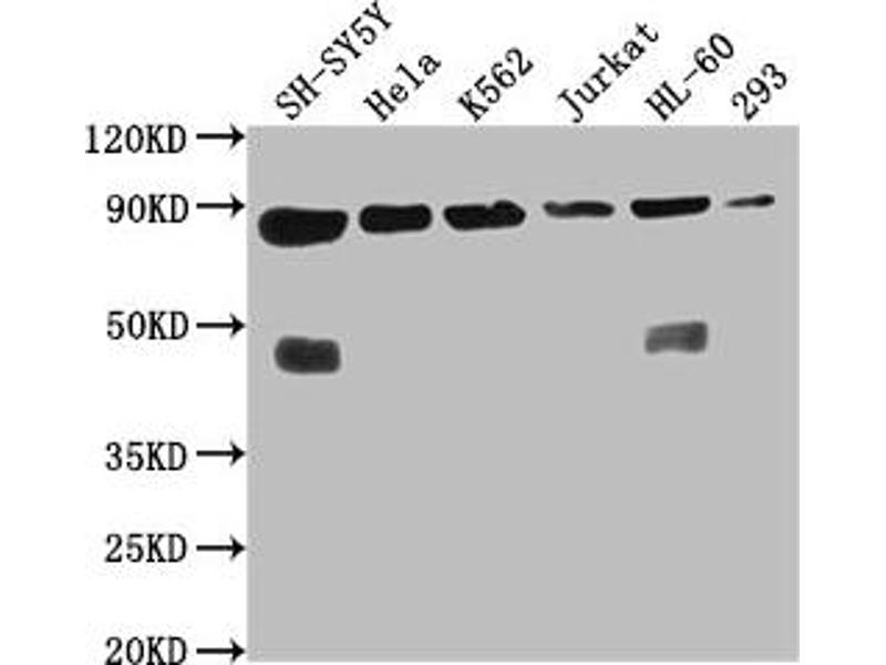
Western Blotting (WB), ELISA, Immunofluorescence (IF), Immunohistochemistry (IHC)
  • Épitope

    • 3
    • 2
    • 2
    • 1
    • 1
    • 1
    • 1
    • 1
    • 1
    • 1
    AA 335-466

    Fonction

    YY1AP1 Antibody

    Purification

    Protein G purified

    Pureté

    >95 %

    Immunogène

    Recombinant Human YY1-associated protein 1 protein (335-466AA)

    Isotype

    IgG
  • Indications d'application

    Optimal working dilution should be determined by the investigator.

    Restrictions

    For Research Use only
  • Format

    Liquid

    Buffer

    Preservative: 0.03 % Proclin 300
    Constituents: 50 % Glycerol, 0.01M PBS, pH 7.4

    Agent conservateur

    ProClin

    Précaution d'utilisation

    This product contains ProClin: a POISONOUS AND HAZARDOUS SUBSTANCE which should be handled by trained staff only.

    Stock

    -20 °C,-80 °C

    Stockage commentaire

    Upon receipt, store at -20°C or -80°C. Avoid repeated freeze.
  • Antigène

    YY1AP1 (YY1 Associated Protein 1 (YY1AP1))

    Autre désignation

    YY1AP1

    Sujet

    Background: Associates with the INO80 chromatin remodeling complex, which is responsible for transcriptional regulation, DNA repair, and replication (PubMed:27939641). Enhances transcription activation by YY1 (PubMed:14744866). Plays a role in cell cycle regulation (PubMed:17541814, PubMed:27939641).

    Aliases: FLJ10875 antibody, FLJ13914 antibody, GRNG antibody, HCCA1 antibody, HCCA2 antibody, Hepatocellular carcinoma susceptibility protein antibody, Hepatocellular carcinoma-associated protein 2 antibody, OTTHUMP00000033475 antibody, OTTHUMP00000033476 antibody, OTTHUMP00000200831 antibody, OTTHUMP00000200832 antibody, OTTHUMP00000200833 antibody, OTTHUMP00000200836 antibody, YAP antibody, YY1-associated protein 1 antibody, YY1AP antibody, YY1AP1 antibody, YYAP1_HUMAN antibody

    UniProt

    Q9H869
Vous êtes ici:
Chat with us!