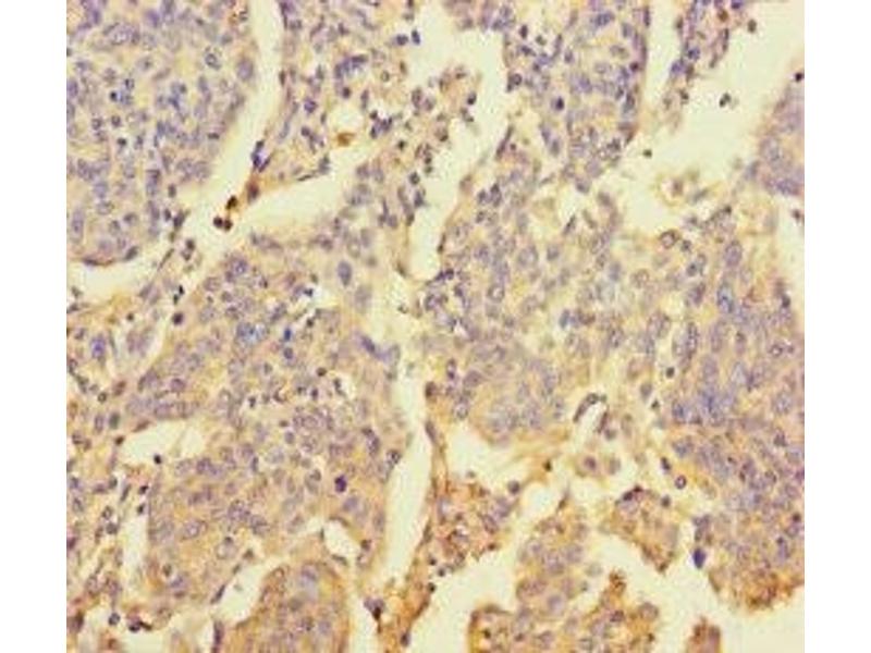
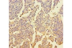
ZNF662 anticorps (AA 182-452)
Aperçu rapide pour ZNF662 anticorps (AA 182-452) (ABIN7176469)
Antigène
Voir toutes ZNF662 AnticorpsReactivité
Hôte
Clonalité
Conjugué
Application
-
-
Épitope
- AA 182-452
-
Fonction
- ZNF662 Antibody
-
Purification
- Protein G purified
-
Pureté
- >95 %
-
Immunogène
- Recombinant Human Zinc finger protein 662 protein (182-452AA)
-
Isotype
- IgG
-
-
-
-
Indications d'application
- Optimal working dilution should be determined by the investigator.
-
Restrictions
- For Research Use only
-
-
-
Format
- Liquid
-
Buffer
-
Preservative: 0.03 % Proclin 300
Constituents: 50 % Glycerol, 0.01M PBS, PH 7.4 -
Agent conservateur
- ProClin
-
Précaution d'utilisation
- This product contains ProClin: a POISONOUS AND HAZARDOUS SUBSTANCE which should be handled by trained staff only.
-
Stock
- -20 °C,-80 °C
-
Stockage commentaire
- Upon receipt, store at -20°C or -80°C. Avoid repeated freeze.
-
-
- ZNF662 (Zinc Finger Protein 662 (ZNF662))
-
Autre désignation
- ZNF662
-
Sujet
-
Background: May be involved in transcriptional regulation.
Aliases: FLJ33347 antibody, FLJ45880 antibody, MGC149141 antibody, Zinc finger protein 662 antibody, ZN662_HUMAN antibody, ZNF662 antibody
-
UniProt
- Q6ZS27
Antigène
-