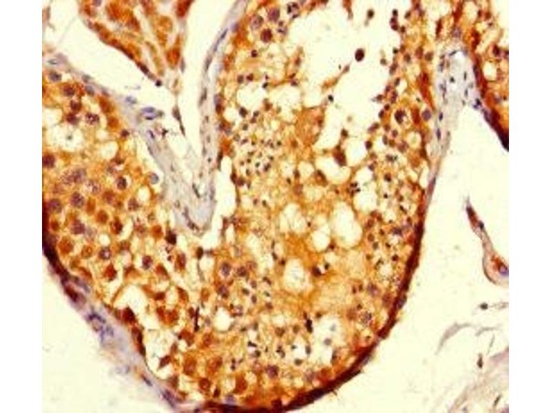
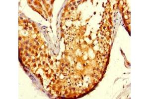
ADCK2 anticorps (AA 200-609)
Aperçu rapide pour ADCK2 anticorps (AA 200-609) (ABIN7177995)
Antigène
Voir toutes ADCK2 AnticorpsReactivité
Hôte
Clonalité
Conjugué
Application
-
-
Épitope
- AA 200-609
-
Fonction
- Adck2 Antibody
-
Réactivité croisée
- Humain
-
Purification
- Protein G purified
-
Pureté
- >95 %
-
Immunogène
- Recombinant Mouse Uncharacterized aarF domain-containing protein kinase 2 protein (200-609AA)
-
Isotype
- IgG
-
-
-
-
Indications d'application
- Optimal working dilution should be determined by the investigator.
-
Restrictions
- For Research Use only
-
-
-
Format
- Liquid
-
Buffer
-
Preservative: 0.03 % Proclin 300
Constituents: 50 % Glycerol, 0.01M PBS, PH 7.4 -
Agent conservateur
- ProClin
-
Précaution d'utilisation
- This product contains ProClin: a POISONOUS AND HAZARDOUS SUBSTANCE which should be handled by trained staff only.
-
Stock
- -20 °C,-80 °C
-
Stockage commentaire
- Upon receipt, store at -20°C or -80°C. Avoid repeated freeze.
-
-
- ADCK2 (AarF Domain Containing Kinase 2 (ADCK2))
-
Autre désignation
- Adck2
-
Sujet
-
Background: The function of this protein is not yet clear. It is not known if it has protein kinase activity and what type of substrate it would phosphorylate (Ser, Thr or Tyr).
Aliases: Adck2Uncharacterized aarF domain-containing protein kinase 2 antibody, EC 2.7.11.- antibody
-
UniProt
- Q6NSR3
Antigène
-