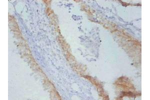
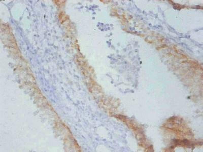
TIMP1 anticorps
Aperçu rapide pour TIMP1 anticorps (ABIN7179094)
Antigène
Voir toutes TIMP1 AnticorpsReactivité
Hôte
Clonalité
Conjugué
Application
Clone
-
-
Fonction
- Timp1 Monoclonal Antibody
-
Purification
- Protein G purified
-
Pureté
- >95 %
-
Immunogène
- Recombinant Rat Timp1
-
Isotype
- IgG1
-
-
-
-
Indications d'application
- Optimal working dilution should be determined by the investigator.
-
Restrictions
- For Research Use only
-
-
-
Format
- Liquid
-
Buffer
-
Preservative: 0.03 % Proclin 300
Constituents: 50 % Glycerol, 0.01M PBS, PH 7.4 -
Agent conservateur
- ProClin
-
Précaution d'utilisation
- This product contains ProClin: a POISONOUS AND HAZARDOUS SUBSTANCE which should be handled by trained staff only.
-
Stock
- -20 °C,-80 °C
-
Stockage commentaire
- Upon receipt, store at -20°C or -80°C. Avoid repeated freeze.
-
-
- TIMP1 (TIMP Metallopeptidase Inhibitor 1 (TIMP1))
-
Autre désignation
- Timp1
-
Sujet
-
Background: Complexes with metalloproteinases (such as collagenases) and irreversibly inactivates them by binding to their catalytic zinc cofactor. Also stimulates steroidogenesis by Leydig and ovarian granuloma cells, procathepsin L is required for maximal activity.
Aliases: Timp-1
-
UniProt
- P30120
Antigène
-