Tel:
+49 (0)241 95 163 153
Fax:
+49 (0)241 95 163 155
E-Mail:
orders@anticorps-enligne.fr

Ki-67 anticorps (C-Term)

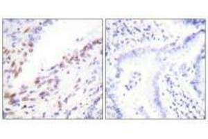
L’anticorps anti-Ki-67 Polyclonal Lapin est utilisé pour la détection de Ki-67 dans des échantillons de Humain. Il a été validé pour IHC, IF et ELISA.
N° du produit ABIN7180194
326,70 €
Plus frais de livraison 40,00 € et TVA
100 μL
Destination: France
Envoi sous 11 à 15 jours ouvrables

Aperçu rapide pour Ki-67 anticorps (C-Term) (ABIN7180194)

Antigène

Voir toutes Ki-67 (MKI67) Anticorps
Ki-67 (MKI67) (Antigen Identified By Monoclonal Antibody Ki-67 (MKI67))

Reactivité

  • 190
  • 53
  • 30
  • 5
  • 2
  • 2
  • 2
  • 1
  • 1
Humain

Hôte

  • 109
  • 79
  • 13
  • 3
  • 1
Lapin

Clonalité

  • 122
  • 81
Polyclonal

Conjugué

  • 113
  • 13
  • 11
  • 6
  • 5
  • 5
  • 4
  • 3
  • 3
  • 3
  • 3
  • 3
  • 2
  • 2
  • 2
  • 2
  • 2
  • 2
  • 2
  • 2
  • 2
  • 1
  • 1
  • 1
  • 1
  • 1
  • 1
  • 1
  • 1
  • 1
  • 1
  • 1
  • 1
  • 1
  • 1
  • 1
Cet anticorp Ki-67 est non-conjugé

Application

  • 110
  • 105
  • 83
  • 62
  • 43
  • 42
  • 28
  • 19
  • 18
  • 16
  • 13
  • 6
  • 6
  • 6
  • 5
  • 4
  • 2
  • 2
  • 2
  • 2
  • 1
  • 1
  • 1
Immunohistochemistry (IHC), Immunofluorescence (IF), ELISA
  • Épitope

    • 30
    • 16
    • 7
    • 7
    • 6
    • 6
    • 5
    • 5
    • 4
    • 4
    • 3
    • 2
    • 2
    • 2
    • 2
    • 2
    • 2
    • 2
    • 2
    • 2
    • 1
    • 1
    • 1
    • 1
    • 1
    • 1
    • 1
    • 1
    • 1
    • 1
    • 1
    • 1
    • 1
    • 1
    • 1
    • 1
    • 1
    C-Term

    Fonction

    MKI67 Antibody

    Purification

    The antibody was affinity-purified from rabbit antiserum by affinity-chromatography using epitope-specific immunogen.

    Immunogène

    Synthesized peptide derived from C-terminal of Human ki67.

    Isotype

    IgG
  • Indications d'application

    Optimal working dilution should be determined by the investigator.

    Restrictions

    For Research Use only
  • Format

    Liquid

    Buffer

    phosphate buffered saline (without Mg2+ and Ca2+), pH 7.4, 150 mM NaCl, 0.02 % sodium azide and 50 % glycerol.

    Agent conservateur

    Sodium azide

    Précaution d'utilisation

    This product contains Sodium azide: a POISONOUS AND HAZARDOUS SUBSTANCE which should be handled by trained staff only.

    Stock

    -20 °C,-80 °C

    Stockage commentaire

    Upon receipt, store at -20°C or -80°C. Avoid repeated freeze.
  • Antigène

    Ki-67 (MKI67) (Antigen Identified By Monoclonal Antibody Ki-67 (MKI67))

    Autre désignation

    MKI67

    Sujet

    Background: Thought to be required for maintaining cell proliferation.

    Mitch Dowsett, J Natl Cancer Inst, Jan 2007, 99: 167 - 170.
    Phyllis A. Gimotty, J. Clin. Oncol, Nov 2005, 23: 8048 - 8056.
    Tim J. Dudderidge, Clin. Cancer Res., Apr 2005, 11: 2510 - 2517.
    Scott F. Sieg, J. Immunol., Nov 2003, 171: 5208.

    Aliases: Antigen identified by monoclonal antibody Ki 67 antibody, Antigen identified by monoclonal antibody Ki-67 antibody, Antigen KI-67 antibody, Antigen KI67 antibody, Antigen Ki67 antibody, KI67_HUMAN antibody, KIA antibody, Marker of proliferation Ki-67 antibody, MIB 1 antibody, MIB antibody, MKI67 antibody, PPP1R105 antibody, Proliferation marker protein Ki-67 antibody, Proliferation related Ki 67 antigen antibody, Protein phosphatase 1 regulatory subunit 105 antibody, RP11-380J17.2 antibody

    UniProt

    P46013

    Pathways

    Glycosaminoglycan Metabolic Process
Vous êtes ici:
Chat with us!