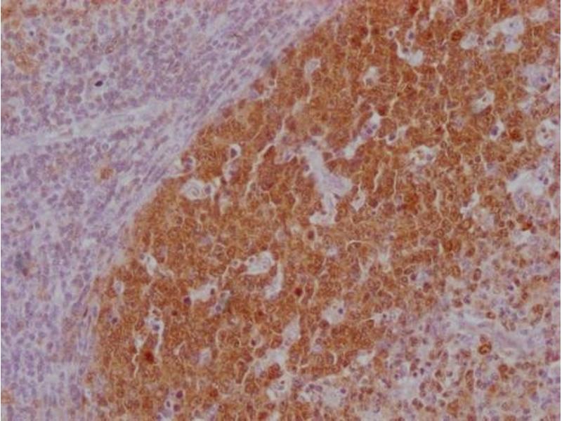
POU2AF1 anticorps
Cet anticorps Souris Monoclonal détecte spécifiquement POU2AF1 dans IHC et ELISA. Il présente une réactivité avec des échantillons de Humain.
N° du produit ABIN7180562
328,90 €
Plus frais de livraison 40,00 € et TVA
Envoi sous 11 à 15 jours ouvrables
Aperçu rapide pour POU2AF1 anticorps (ABIN7180562)
Antigène
Voir toutes POU2AF1 Anticorps
POU2AF1
(POU Class 2 Associating Factor 1 (POU2AF1))
Reactivité
Humain
Hôte
Souris
Clonalité
Monoclonal
Conjugué
Cet anticorp POU2AF1 est non-conjugé
Application
Immunohistochemistry (IHC), ELISA
-
-
Fonction
-
POU2AF1 Monoclonal Antibody
-
Purification
-
The antibody was affinity-purified from mouse ascites by affinity-chromatography using specific immunogen.
-
Immunogène
-
Synthesized peptide derived from human BOB.1
-
Isotype
-
IgG2a, kappa
-
-
-
Indications d'application
-
Optimal working dilution should be determined by the investigator.
-
Restrictions
-
For Research Use only
-
-
Format
-
Liquid
-
Buffer
-
PBS containing 50 % glycerol, 0.5 % BSA and 0.02 % sodium azide.
-
Agent conservateur
-
Sodium azide
-
Précaution d'utilisation
-
This product contains Sodium azide: a POISONOUS AND HAZARDOUS SUBSTANCE which should be handled by trained staff only.
-
Stock
-
-20 °C,-80 °C
-
Stockage commentaire
-
Upon receipt, store at -20°C or -80°C. Avoid repeated freeze.
-
Antigène
-
POU2AF1
(POU Class 2 Associating Factor 1 (POU2AF1))
-
Autre désignation
-
POU2AF1
-
Sujet
-
POU domain class 2-associating factor 1 (B-cell-specific coactivator OBF-1) (BOB-1) (OCA-B) (OCT-binding factor 1), POU2AF1, OBF1
-
UniProt
-
Q16633
-