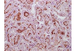
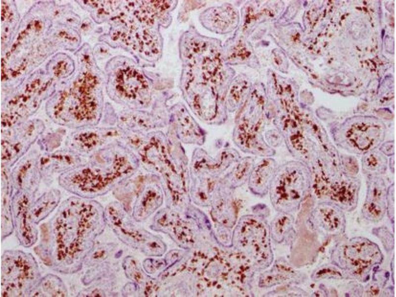
F13A1 anticorps
Aperçu rapide pour F13A1 anticorps (ABIN7181182)
Antigène
Voir toutes F13A1 AnticorpsReactivité
Hôte
Clonalité
Conjugué
Application
-
-
Fonction
- F13A1 Monoclonal Antibody
-
Purification
- The antibody was affinity-purified from mouse ascites by affinity-chromatography using specific immunogen.
-
Immunogène
- Synthesized peptide derived from human Factor XIIIa
-
Isotype
- IgG2a, kappa
-
-
-
-
Indications d'application
- Optimal working dilution should be determined by the investigator.
-
Restrictions
- For Research Use only
-
-
-
Format
- Liquid
-
Buffer
- PBS containing 50 % glycerol, 0.5 % BSA and 0.02 % sodium azide.
-
Agent conservateur
- Sodium azide
-
Précaution d'utilisation
- This product contains Sodium azide: a POISONOUS AND HAZARDOUS SUBSTANCE which should be handled by trained staff only.
-
Stock
- -20 °C,-80 °C
-
Stockage commentaire
- Upon receipt, store at -20°C or -80°C. Avoid repeated freeze.
-
-
- F13A1 (Coagulation Factor XIII, A1 Polypeptide (F13A1))
-
Autre désignation
- F13A1
-
Sujet
-
Background: Factor XIII is activated by thrombin and calcium ion to a transglutaminase that catalyzes the formation of gamma-glutamyl-epsilon-lysine cross-links between fibrin chains, thus stabilizing the fibrin clot. Also cross-link alpha-2-plasmin inhibitor, or fibronectin, to the alpha chains of fibrin.
Aliases: Coagulation factor XIII A chain (Coagulation factor XIIIa) (EC 2.3.2.13) (Protein-glutamine gamma-glutamyltransferase A chain) (Transglutaminase A chain), F13A1, F13A
-
UniProt
- P00488
Antigène
-