Tel:
+49 (0)241 95 163 153
Fax:
+49 (0)241 95 163 155
E-Mail:
orders@anticorps-enligne.fr

HOXB1 anticorps

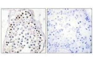
Cet anticorps anti-HOXB1 Polyclonal Lapin (ABIN7183645) détecte spécifiquement HOXB1 dans ELISA et IHC. L’anticorps est réactif avec des échantillons de Humain.
N° du produit ABIN7183645
326,70 €
Plus frais de livraison 40,00 € et TVA
100 μL
Destination: France
Envoi sous 11 à 15 jours ouvrables

Aperçu rapide pour HOXB1 anticorps (ABIN7183645)

Antigène

Voir toutes HOXB1 Anticorps
HOXB1 (Homeobox B1 (HOXB1))

Reactivité

  • 32
  • 25
  • 10
  • 6
  • 6
  • 5
  • 5
  • 4
  • 3
  • 2
  • 1
  • 1
  • 1
  • 1
  • 1
Humain

Hôte

  • 39
  • 3
Lapin

Clonalité

  • 40
  • 2
Polyclonal

Conjugué

  • 30
  • 2
  • 1
  • 1
  • 1
  • 1
  • 1
  • 1
  • 1
  • 1
  • 1
  • 1
Cet anticorp HOXB1 est non-conjugé

Application

  • 33
  • 17
  • 3
  • 3
  • 2
ELISA, Immunohistochemistry (IHC)
  • Fonction

    HOXB1/HOXA1/HOXD1 Antibody

     Réactivité croisée

    Souris

    Purification

    The antibody was affinity-purified from rabbit antiserum by affinity-chromatography using epitope-specific immunogen.

    Immunogène

    Synthesized peptide derived from internal of Human HOXA1/B1/D1.

    Isotype

    IgG
  • Indications d'application

    Optimal working dilution should be determined by the investigator.

    Restrictions

    For Research Use only
  • Format

    Liquid

    Buffer

    phosphate buffered saline (without Mg2+ and Ca2+), pH 7.4, 150 mM NaCl, 0.02 % sodium azide and 50 % glycerol.

    Agent conservateur

    Sodium azide

    Précaution d'utilisation

    This product contains Sodium azide: a POISONOUS AND HAZARDOUS SUBSTANCE which should be handled by trained staff only.

    Stock

    -20 °C,-80 °C

    Stockage commentaire

    Upon receipt, store at -20°C or -80°C. Avoid repeated freeze.
  • Antigène

    HOXB1 (Homeobox B1 (HOXB1))

    Autre désignation

    HOXB1

    Sujet

    Background: Sequence-specific transcription factor which is part of a developmental regulatory system that provides cells with specific positional identities on the anterior-posterior axis. Acts on the anterior body structures.

    Acampora D., Nucleic Acids Res. 17:10385-10402(1989).
    Boncinelli E., Genome 31:745-756(1989).
    Piper D.E., Cell 96:587-597(1999).

    Aliases: HCFP3 antibody, Homeo box 2I antibody, Homeo box B1 antibody, Homeobox 2I antibody, Homeobox B1 antibody, Homeobox protein Hox B1 antibody, Homeobox protein Hox-2I antibody, Homeobox protein Hox-B1 antibody, Homeobox protein HoxB1 antibody, Homeobox2I antibody, HomeoboxB1 antibody, HOX 2 antibody, Hox 2.9 antibody, HOX 2I antibody, HOX B1 antibody, HOX2 antibody, Hox2.9 antibody, HOX2I antibody, HOXB 1 antibody, HOXB1 antibody, HOXB1 protein antibody, HXB1_HUMAN antibody, MGC116843 antibody, MGC116844 antibody, MGC116845 antibody

    UniProt

    P14653
Vous êtes ici:
Chat with us!