Tel:
+49 (0)241 95 163 153
Fax:
+49 (0)241 95 163 155
E-Mail:
orders@anticorps-enligne.fr

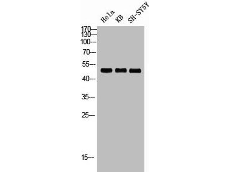
RRS1 anticorps (Internal Region)

L’anticorps anti-RRS1 Polyclonal Lapin est utilisé pour la détection de RRS1 dans des échantillons de Humain. Il a été validé pour WB, ELISA et IHC.
N° du produit ABIN7188023
218,90 €
Plus frais de livraison 40,00 € et TVA
Destination: France
Envoi sous 11 à 15 jours ouvrables

Aperçu rapide pour RRS1 anticorps (Internal Region) (ABIN7188023)

Antigène

Voir toutes RRS1 Anticorps
RRS1 (RRS1 Ribosome Biogenesis Regulator (RRS1))

Reactivité

  • 32
  • 18
  • 17
  • 4
  • 4
  • 3
  • 2
  • 2
  • 1
  • 1
Humain

Hôte

  • 30
  • 2
Lapin

Clonalité

  • 32
Polyclonal

Conjugué

  • 20
  • 2
  • 1
  • 1
  • 1
  • 1
  • 1
  • 1
  • 1
  • 1
  • 1
  • 1
Cet anticorp RRS1 est non-conjugé

Application

  • 25
  • 13
  • 11
  • 6
  • 5
  • 3
  • 1
  • 1
Western Blotting (WB), ELISA, Immunohistochemistry (IHC)
  • Épitope

    • 9
    • 6
    • 3
    • 2
    • 1
    • 1
    • 1
    • 1
    • 1
    • 1
    • 1
    Internal Region

    Fonction

    RRS1 Antibody

     Réactivité croisée

    Souris, Rat

    Purification

    The antibody was affinity-purified from rabbit antiserum by affinity-chromatography using epitope-specific immunogen.

    Immunogène

    Synthesized peptide derived from the Internal region of Human RRS1.

    Isotype

    IgG
  • Indications d'application

    Optimal working dilution should be determined by the investigator.

    Restrictions

    For Research Use only
  • Format

    Liquid

    Buffer

    PBS containing 50 % glycerol, 0.5 % BSA and 0.02 % sodium azide.

    Agent conservateur

    Sodium azide

    Précaution d'utilisation

    This product contains Sodium azide: a POISONOUS AND HAZARDOUS SUBSTANCE which should be handled by trained staff only.

    Stock

    -20 °C,-80 °C

    Stockage commentaire

    Upon receipt, store at -20°C or -80°C. Avoid repeated freeze.
  • Antigène

    RRS1 (RRS1 Ribosome Biogenesis Regulator (RRS1))

    Autre désignation

    RRS1

    Sujet

    Homolog of yeast ribosome biogenesis regulator antibody, Homolog of yeast ribosome biogenesis regulatory protein RRS1 antibody, KIAA0112 antibody, OTTHUMP00000227420 antibody, Ribosome biogenesis regulatory protein homolog antibody, Ribosome biogenesis regulatory protein RRS1 homolog antibody, RRR antibody, rrs1 antibody, RRS1 ribosome biogenesis regulator homolog (S. cerevisiae) antibody, RRS1_HUMAN antibody

    UniProt

    Q15050
Vous êtes ici:
Chat with us!