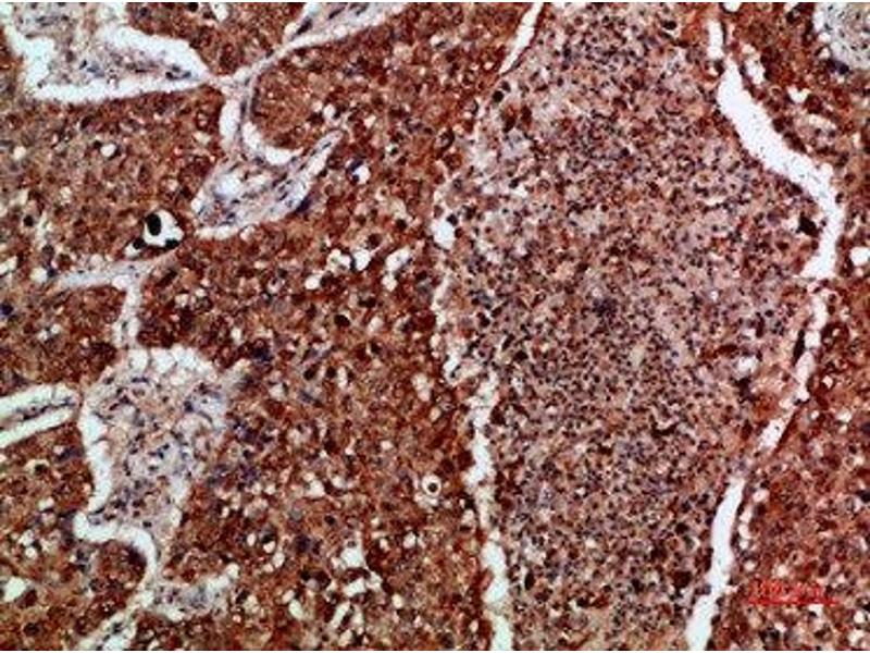
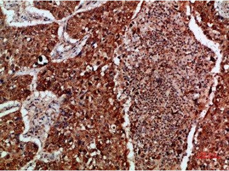
IMP3 anticorps
Aperçu rapide pour IMP3 anticorps (ABIN7189445)
Antigène
Voir toutes IMP3 AnticorpsReactivité
Hôte
Clonalité
Conjugué
Application
-
-
Fonction
- IMP3 Antibody
-
Réactivité croisée
- Souris, Rat
-
Purification
- The antibody was affinity-purified from rabbit serum by affinity-chromatography using specific immunogen.
-
Immunogène
- Synthetic peptide from Human protein at AA range: 135-184
-
Isotype
- IgG
-
-
-
-
Indications d'application
- Optimal working dilution should be determined by the investigator.
-
Restrictions
- For Research Use only
-
-
-
Format
- Liquid
-
Buffer
- PBS, pH 7.4, containing 0.02 % sodium azide as Preservative and 50 % Glycerol.
-
Agent conservateur
- Sodium azide
-
Précaution d'utilisation
- This product contains Sodium azide: a POISONOUS AND HAZARDOUS SUBSTANCE which should be handled by trained staff only.
-
Stock
- -20 °C,-80 °C
-
Stockage commentaire
- Upon receipt, store at -20°C or -80°C. Avoid repeated freeze.
-
-
- IMP3 (IMP3, U3 Small Nucleolar Ribonucleoprotein (IMP3))
-
Autre désignation
- IMP3
-
Sujet
- BRMS2 antibody, C15orf12 antibody, Chromosome 15 open reading frame 12 antibody, DKFZp586L0118 antibody, FLJ10968 antibody, imp3 antibody, IMP3, U3 small nucleolar ribonucleoprotein, homolog (yeast) antibody, IMP3_HUMAN antibody, Mitochondrial ribosomal protein S4 antibody, MRPS4 antibody, OTTHUMP00000183524 antibody, U3 small nucleolar ribonucleoprotein protein imp3 antibody, U3 snoRNP protein 3 homolog antibody, U3 snoRNP protein imp3 antibody
-
UniProt
- Q9NV31
Antigène
-