Tel:
+49 (0)241 95 163 153
Fax:
+49 (0)241 95 163 155
E-Mail:
orders@anticorps-enligne.fr

CLDND2 anticorps

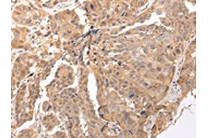
Cet anticorps Lapin Polyclonal détecte spécifiquement CLDND2 dans ELISA, IHC et WB. Il présente une réactivité avec des échantillons de Humain.
N° du produit ABIN7190290
328,90 €
Plus frais de livraison 40,00 € et TVA
Destination: France
Envoi sous 11 à 15 jours ouvrables

Aperçu rapide pour CLDND2 anticorps (ABIN7190290)

Antigène

Voir toutes CLDND2 Anticorps
CLDND2 (Claudin Domain Containing 2 (CLDND2))

Reactivité

  • 11
  • 9
Humain

Hôte

  • 9
  • 2
Lapin

Clonalité

  • 11
Polyclonal

Conjugué

  • 4
  • 1
  • 1
  • 1
  • 1
  • 1
  • 1
  • 1
Cet anticorp CLDND2 est non-conjugé

Application

ELISA, Immunohistochemistry (IHC), Western Blotting (WB)
  • Fonction

    CLDND2 Antibody

     Réactivité croisée

    Souris

    Purification

    Antigen affinity purification

    Immunogène

    Synthetic peptide of Human CLDND2

    Isotype

    IgG
  • Indications d'application

    Optimal working dilution should be determined by the investigator.

    Restrictions

    For Research Use only
  • Format

    Liquid

    Buffer

     pH 7.4 PBS, 0.05 % Sodium azide, 40 % Glycerol

    Agent conservateur

    Sodium azide

    Précaution d'utilisation

    This product contains Sodium azide: a POISONOUS AND HAZARDOUS SUBSTANCE which should be handled by trained staff only.

    Stock

    -20 °C,-80 °C

    Stockage commentaire

    Upon receipt, store at -20°C or -80°C. Avoid repeated freeze.
  • Antigène

    CLDND2 (Claudin Domain Containing 2 (CLDND2))

    Autre désignation

    CLDND2

    Sujet

    Background: CLDND2 (claudin domain containing 2) is a 167 amino acid multi-pass membrane protein that belongs to the PMP-22/EMP/MP20 family and is encoded by a gene that maps to human chromosome 19q13.33. Consisting of around 63 million bases with over 1,400 genes, chromosome 19 makes up over 2 % of human genomic DNA. Chromosome 19 includes a diversity of interesting genes and is recognized for having the greatest gene density of the human chromosomes.

    Aliases: CLDND2Claudin domain-containing protein 2 antibody

    UniProt

    Q8NHS1
Vous êtes ici:
Chat with us!