Tel:
+49 (0)241 95 163 153
Fax:
+49 (0)241 95 163 155
E-Mail:
orders@anticorps-enligne.fr

FOXF2 anticorps

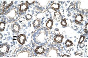
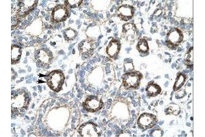
L’anticorps anti-FOXF2 Polyclonal Lapin est utilisé pour la détection de FOXF2 dans des échantillons de Humain. Il a été validé pour WB, ELISA et IHC.
N° du produit ABIN7190690
328,90 €
Plus frais de livraison 40,00 € et TVA
Destination: France
Envoi sous 11 à 15 jours ouvrables

Aperçu rapide pour FOXF2 anticorps (ABIN7190690)

Antigène

Voir toutes FOXF2 Anticorps
FOXF2 (Forkhead Box F2 (FOXF2))

Reactivité

  • 30
  • 30
  • 2
  • 1
  • 1
Humain

Hôte

  • 29
  • 15
  • 1
Lapin

Clonalité

  • 30
  • 15
Polyclonal

Conjugué

  • 11
  • 4
  • 3
  • 2
  • 2
  • 2
  • 2
  • 2
  • 2
  • 2
  • 1
  • 1
  • 1
  • 1
  • 1
  • 1
  • 1
  • 1
  • 1
  • 1
  • 1
  • 1
  • 1
Cet anticorp FOXF2 est non-conjugé

Application

  • 27
  • 13
  • 13
  • 13
  • 6
  • 4
  • 3
  • 3
  • 2
  • 2
Western Blotting (WB), ELISA, Immunohistochemistry (IHC)
  • Fonction

    FOXF2 Antibody

     Réactivité croisée

    Souris

    Purification

    Antigen affinity purification

    Immunogène

    Synthetic peptide of Human FOXF2

    Isotype

    IgG
  • Indications d'application

    Optimal working dilution should be determined by the investigator.

    Restrictions

    For Research Use only
  • Format

    Liquid

    Buffer

     pH 7.4 PBS, 0.05 % Sodium azide, 40 % Glycerol

    Agent conservateur

    Sodium azide

    Précaution d'utilisation

    This product contains Sodium azide: a POISONOUS AND HAZARDOUS SUBSTANCE which should be handled by trained staff only.

    Stock

    -20 °C,-80 °C

    Stockage commentaire

    Upon receipt, store at -20°C or -80°C. Avoid repeated freeze.
  • Antigène

    FOXF2 (Forkhead Box F2 (FOXF2))

    Autre désignation

    FOXF2

    Sujet

    Background: FOXF2 encodes forkhead box F2, one of many human homologues of the Drosophila melanogaster transcription factor forkhead. FOXF2 is expressed in lung and placenta, and has been shown to transcriptionally activate several lung-specific genes.

    Aliases: FOXF2 antibody, FKHL6 antibody, FREAC2Forkhead box protein F2 antibody, Forkhead-related activator 2 antibody, FREAC-2 antibody, Forkhead-related protein FKHL6 antibody, Forkhead-related transcription factor 2 antibody

    UniProt

    Q12947
Vous êtes ici:
Chat with us!