SIGLEC6 anticorps (AA 27-347)
Aperçu rapide pour SIGLEC6 anticorps (AA 27-347) (ABIN7193247)
Antigène
Voir toutes SIGLEC6 AnticorpsReactivité
Hôte
Clonalité
Conjugué
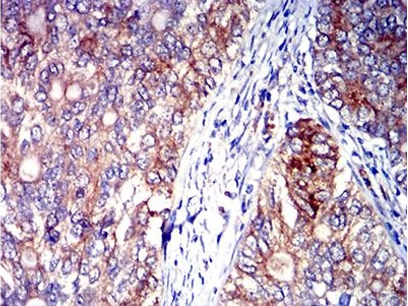
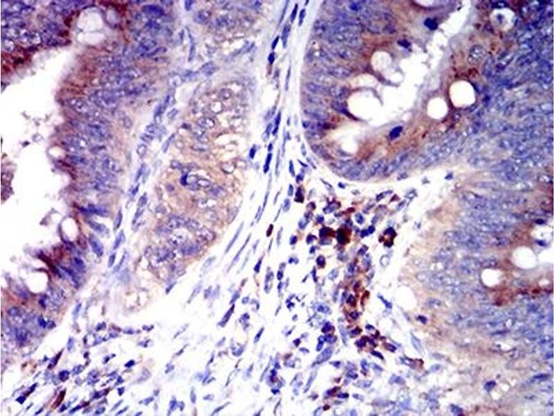
Application
Clone
-
-
Épitope
- AA 27-347
-
Fonction
- CD327 Antibody
-
Purification
- Purified antibody
-
Immunogène
- Purified recombinant fragment of human CD327 (AA: 27-347) expressed in E. Coli.
-
Isotype
- IgG2b
-
-
-
-
Indications d'application
-
ELISA: 1/10000
FCM: 1/200 - 1/400
-
Restrictions
- For Research Use only
-
-
-
Format
- Liquid
-
Buffer
- Purified antibody in PBS with 0.05 % sodium azide.
-
Agent conservateur
- Sodium azide
-
Précaution d'utilisation
- This product contains Sodium azide: a POISONOUS AND HAZARDOUS SUBSTANCE which should be handled by trained staff only.
-
Stock
- 4 °C,-20 °C
-
Stockage commentaire
- Store at 4°C short term. Aliquot and store at -20°C long term. Avoid freeze/thaw cycles.
-
-
- SIGLEC6 (Sialic Acid Binding Ig-Like Lectin 6 (SIGLEC6))
-
Autre désignation
- CD327
-
Sujet
-
This gene encodes a member of the SIGLEC (sialic acid binding immunoglobulin-like lectin) family of proteins. The encoded transmembrane receptor binds sialyl-TN glycans and leptin. Placental expression of the encoded protein is upregulated in preeclampsia.
-
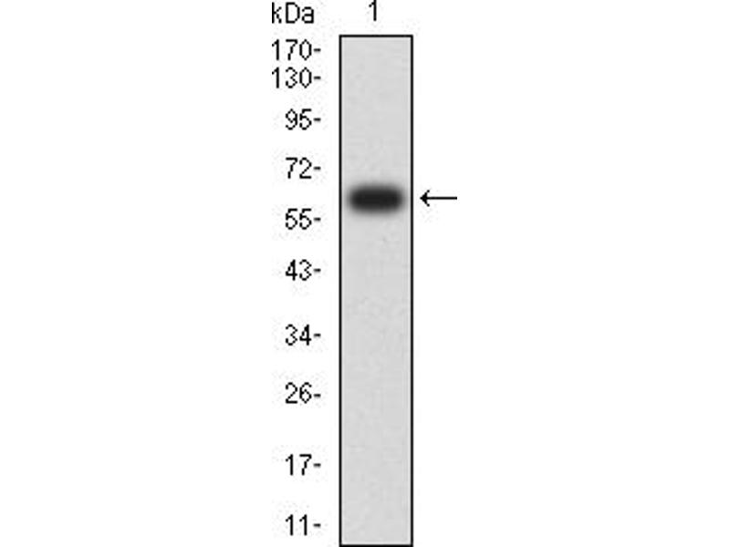
Poids moléculaire
- 50 kDa
-
ID gène
- 946
Antigène
-