Tel:
+49 (0)241 95 163 153
Fax:
+49 (0)241 95 163 155
E-Mail:
orders@anticorps-enligne.fr

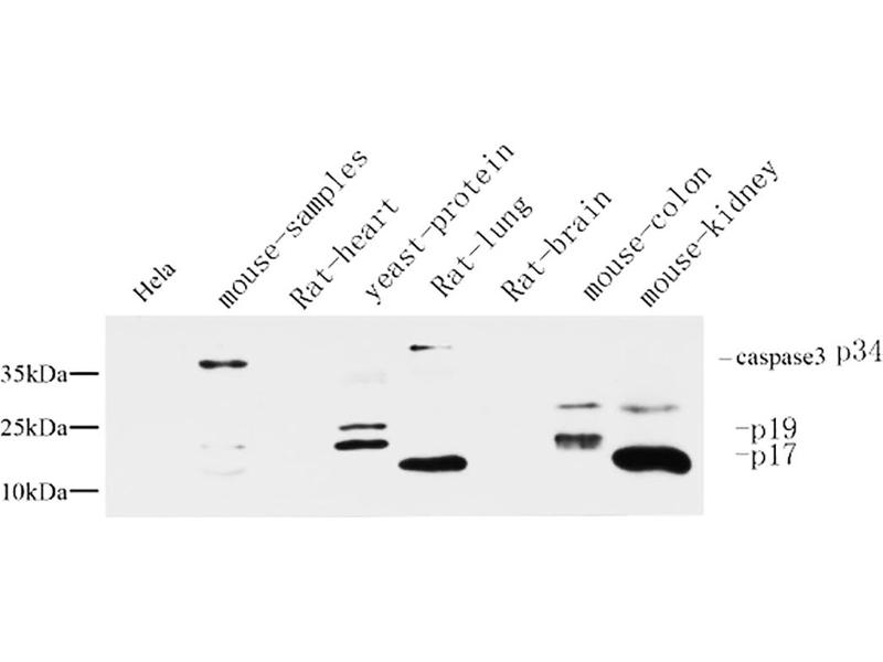
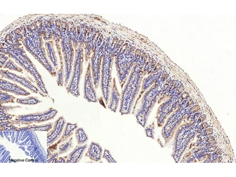
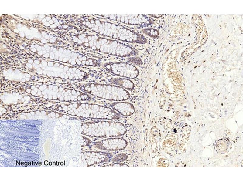
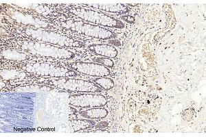
Caspase 3 p17 (AA 100-180), (Cleaved-Asp175) anticorps

Cet anticorps Lapin Polyclonal détecte spécifiquement Caspase 3 p17 dans WB, IF, ELISA et IHC (p). Il présente une réactivité avec des échantillons de Humain, Souris et Rat.
N° du produit ABIN7202045
736,34 €
Plus frais de livraison 40,00 € et TVA
100 μL
Destination: France
Envoi sous 10 à 14 jours ouvrables

Aperçu rapide pour Caspase 3 p17 (AA 100-180), (Cleaved-Asp175) anticorps (ABIN7202045)

Antigène

Caspase 3 p17

Reactivité

  • 5
  • 4
  • 4
  • 2
  • 1
  • 1
  • 1
  • 1
Humain, Souris, Rat

Hôte

  • 5
Lapin

Clonalité

  • 5
Polyclonal

Conjugué

  • 5
Inconjugué

Application

  • 5
  • 4
  • 2
  • 1
  • 1
  • 1
  • 1
Western Blotting (WB), Immunofluorescence (IF), ELISA, Immunohistochemistry (Paraffin-embedded Sections) (IHC (p))
  • Épitope

    • 3
    • 1
    • 1
    • 1
    AA 100-180, Cleaved-Asp175

    Fonction

    Cleaved-Caspase-3 p17 (D175) Polyclonal Antibody

    Specificité

    Cleaved-Caspase-3 p17 (D175) Polyclonal Antibody detects endogenous levels of fragment of activated Caspase-3 p17 protein resulting from cleavage adjacent to D175.

    Purification

    The antibody was affinity-purified from rabbit antiserum by affinity-chromatography using epitope-specific immunogen

    Immunogène

    Synthesized peptide derived from the Internal region of human Caspase-3 p17 at AA range: 100-180

    Isotype

    IgG
  • Indications d'application

    Optimal working dilutions should be determined experimentally by the investigator. Suggested starting dilutions are as follows: WB (1:500-1:2000), IF (1:50-1:300), IHC-P (1:50-1:300), ELISA (1:20000). Not yet tested in other applications.

    Restrictions

    For Research Use only
  • Format

    Liquid

    Concentration

    1 mg/mL

    Buffer

    PBS containing 50 % Glycerol, 0.5 % BSA and 0.02 % Sodium Azide.

    Agent conservateur

    Sodium azide

    Précaution d'utilisation

    This product contains Sodium azide: a POISONOUS AND HAZARDOUS SUBSTANCE which should be handled by trained staff only.

    Stock

    -20 °C

    Stockage commentaire

    Stable for one year at -20°C from date of shipment. For maximum recovery of product, centrifuge the original vial after thawing and prior to removing the cap. Aliquot to avoid repeated freezing and thawing.
  • Antigène

    Caspase 3 p17

    Autre désignation

    Caspase-3 p17

    Sujet

    Rabbit Anti-Cleaved-Caspase-3 p17 (D175) Polyclonal Antibody,CASP3, CPP32, Caspase-3, CASP-3, Apopain, Cysteine protease CPP32, CPP-32, Protein Yama, SREBP cleavage activity 1, SCA-1,CASP3 encodes caspase 3 which is a member of the cysteine-aspartic acid protease (caspase) family. Sequential activation of caspases plays a central role in the execution-phase of cell apoptosis. Caspases exist as inactive proenzymes which undergo proteolytic processing at conserved aspartic residues to produce two subunits, large and small, that dimerize to form the active enzyme. Caspase 3 cleaves and activates caspases 6, 7 and 9, and caspase 3 itself is processed by caspases 8, 9 and 10. It is the predominant caspase involved in the cleavage of amyloid-beta 4A precursor protein, which is associated with neuronal death in Alzheimer's disease. Alternative splicing of CASP3 results in two transcript variants that encode the same protein.,Caspase-3

    ID gène

    836

    UniProt

    P42574
Vous êtes ici:
Chat with us!