Tel:
+49 (0)241 95 163 153
Fax:
+49 (0)241 95 163 155
E-Mail:
orders@anticorps-enligne.fr

CDX2 anticorps

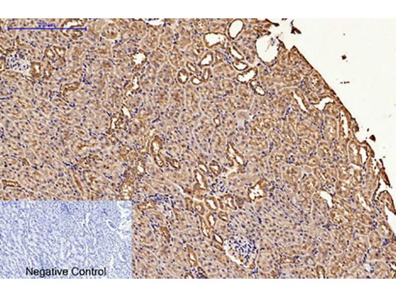
Cet anticorps Souris Monoclonal détecte spécifiquement CDX2 dans WB, IF et IHC (p). Il présente une réactivité avec des échantillons de Humain, Souris et Rat.
N° du produit ABIN7202138
613,62 €
Plus frais de livraison 40,00 € et TVA
100 μL
Destination: France
Envoi sous 10 à 14 jours ouvrables

Aperçu rapide pour CDX2 anticorps (ABIN7202138)

Antigène

Voir toutes CDX2 Anticorps
CDX2 (Caudal Type Homeobox 2 (CDX2))

Reactivité

  • 184
  • 57
  • 52
  • 14
  • 4
  • 3
  • 3
  • 2
  • 2
  • 2
  • 2
  • 1
  • 1
  • 1
  • 1
Humain, Souris, Rat

Hôte

  • 109
  • 74
  • 1
Souris

Clonalité

  • 102
  • 81
  • 1
Monoclonal

Conjugué

  • 92
  • 12
  • 7
  • 5
  • 5
  • 5
  • 5
  • 5
  • 5
  • 4
  • 4
  • 3
  • 3
  • 3
  • 3
  • 3
  • 3
  • 2
  • 2
  • 1
  • 1
  • 1
  • 1
  • 1
  • 1
  • 1
  • 1
  • 1
  • 1
  • 1
  • 1
  • 1
Cet anticorp CDX2 est non-conjugé

Application

  • 78
  • 77
  • 67
  • 38
  • 38
  • 24
  • 23
  • 23
  • 18
  • 13
  • 12
  • 10
  • 9
  • 6
  • 2
  • 2
  • 2
  • 1
  • 1
Western Blotting (WB), Immunofluorescence (IF), Immunohistochemistry (Paraffin-embedded Sections) (IHC (p))
  • Fonction

    CDX2 Monoclonal Antibody

    Specificité

    The antibody detects endogenous CDX2 proteins.

    Purification

    The antibody was affinity-purified from mouse ascites by affinity-chromatography using specific immunogen

    Immunogène

    Synthetic Peptide

    Isotype

    IgG1
  • Indications d'application

    Optimal working dilutions should be determined experimentally by the investigator. Suggested starting dilutions are as follows: WB (1:1000), IF (1:100-1:200), IHC-P (1:200).

    Restrictions

    For Research Use only
  • Format

    Liquid

    Concentration

    1 mg/mL

    Buffer

    PBS, pH 7.4, containing 0.02 % Sodium Azide as preservative and 50 % Glycerol.

    Agent conservateur

    Sodium azide

    Précaution d'utilisation

    This product contains Sodium azide: a POISONOUS AND HAZARDOUS SUBSTANCE which should be handled by trained staff only.

    Stock

    -20 °C

    Stockage commentaire

    Stable for one year at -20°C from date of shipment. For maximum recovery of product, centrifuge the original vial after thawing and prior to removing the cap. Aliquot to avoid repeated freezing and thawing.
  • Antigène

    CDX2 (Caudal Type Homeobox 2 (CDX2))

    Autre désignation

    CDX2

    Sujet

    Mouse Anti-CDX2 Monoclonal Antibody,CDX2, CDX3, Homeobox protein CDX-2, CDX-3, Caudal-type homeobox protein 2,CDX2 is a member of the caudal-related homeobox transcription factor gene family. caudal type homeobox 2 is a major regulator of intestine-specific genes involved in cell growth an differentiation. Caudal type homeobox 2 also plays a role in early embryonic development of the intestinal tract. Aberrant expression of CDX2 is associated with intestinal inflammation and tumorigenesis.,Homeobox protein CDX-2

    ID gène

    1045

    UniProt

    Q99626

    Pathways

    Peptide Hormone Metabolism, Stem Cell Maintenance
Vous êtes ici:
Chat with us!