Tel:
+49 (0)241 95 163 153
Fax:
+49 (0)241 95 163 155
E-Mail:
orders@anticorps-enligne.fr

ENO2/NSE anticorps

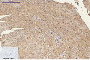
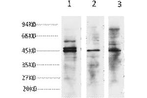
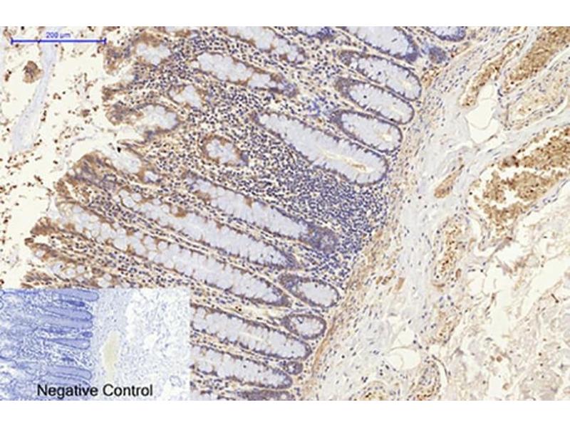
Cet anticorps anti-ENO2/NSE Monoclonal Souris (ABIN7203574) détecte spécifiquement ENO2/NSE dans WB, IF et IHC (p). L’anticorps est réactif avec des échantillons de Humain, Souris et Rat.
N° du produit ABIN7203574
613,62 €
Plus frais de livraison 40,00 € et TVA
100 μL
Destination: France
Envoi sous 10 à 14 jours ouvrables

Aperçu rapide pour ENO2/NSE anticorps (ABIN7203574)

Antigène

Voir toutes ENO2/NSE (ENO2) Anticorps
ENO2/NSE (ENO2) (Enolase 2 (Gamma, Neuronal) (ENO2))

Reactivité

  • 217
  • 99
  • 82
  • 6
  • 5
  • 5
  • 5
  • 5
  • 3
  • 3
  • 3
  • 3
  • 2
  • 2
  • 2
  • 2
  • 1
Humain, Souris, Rat

Hôte

  • 123
  • 106
  • 5
  • 1
  • 1
Souris

Clonalité

  • 119
  • 117
Monoclonal

Conjugué

  • 117
  • 21
  • 17
  • 9
  • 6
  • 6
  • 3
  • 3
  • 3
  • 3
  • 3
  • 3
  • 2
  • 2
  • 2
  • 2
  • 2
  • 2
  • 2
  • 2
  • 2
  • 2
  • 2
  • 2
  • 2
  • 2
  • 2
  • 2
  • 2
  • 2
  • 2
  • 2
  • 1
  • 1
Cet anticorp ENO2/NSE est non-conjugé

Application

  • 172
  • 108
  • 69
  • 43
  • 35
  • 34
  • 26
  • 26
  • 17
  • 13
  • 11
  • 9
  • 8
  • 6
  • 4
  • 3
  • 3
  • 2
  • 2
  • 1
  • 1
  • 1
  • 1
  • 1
Western Blotting (WB), Immunofluorescence (IF), Immunohistochemistry (Paraffin-embedded Sections) (IHC (p))
  • Fonction

    NSE Monoclonal Antibody

    Specificité

    The antibody detects endogenous NSE proteins.

    Purification

    The antibody was affinity-purified from mouse ascites by affinity-chromatography using specific immunogen

    Immunogène

    Synthetic Peptide

    Isotype

    IgG1
  • Indications d'application

    Optimal working dilutions should be determined experimentally by the investigator. Suggested starting dilutions are as follows: WB (1:2000), IF (1:100-1:200), IHC-P (1:200).

    Restrictions

    For Research Use only
  • Format

    Liquid

    Concentration

    1 mg/mL

    Buffer

    PBS, pH 7.4, containing 0.02 % Sodium Azide as preservative and 50 % Glycerol.

    Agent conservateur

    Sodium azide

    Précaution d'utilisation

    This product contains Sodium azide: a POISONOUS AND HAZARDOUS SUBSTANCE which should be handled by trained staff only.

    Stock

    -20 °C

    Stockage commentaire

    Stable for one year at -20°C from date of shipment. For maximum recovery of product, centrifuge the original vial after thawing and prior to removing the cap. Aliquot to avoid repeated freezing and thawing.
  • Antigène

    ENO2/NSE (ENO2) (Enolase 2 (Gamma, Neuronal) (ENO2))

    Autre désignation

    NSE

    Sujet

    Mouse Anti-NSE Monoclonal Antibody,ENO2, Gamma-enolase, 2-phospho-D-glycerate hydro-lyase, Enolase 2, Neural enolase, Neuron-specific enolase, NSE,ENO2 encodes one of the three enolase isoenzymes found in mammals. This isoenzyme (enolase 2), a homodimer, is found in mature neurons and cells of neuronal origin. A switch from alpha enolase to gamma enolase occurs in neural tissue during development in rats and primates.,Gamma-enolase

    ID gène

    2026

    UniProt

    P09104
Vous êtes ici:
Chat with us!