Tel:
+49 (0)241 95 163 153
Fax:
+49 (0)241 95 163 155
E-Mail:
orders@anticorps-enligne.fr

EIF4A1 anticorps

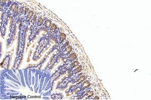
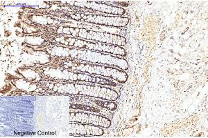
L’anticorps anti-EIF4A1 Monoclonal Souris est utilisé pour la détection de EIF4A1 dans des échantillons de Humain, Rat et Souris. Il a été validé pour WB, IF et IHC (p).
N° du produit ABIN7203768
613,62 €
Plus frais de livraison 40,00 € et TVA
100 μL
Destination: France
Envoi sous 10 à 14 jours ouvrables

Aperçu rapide pour EIF4A1 anticorps (ABIN7203768)

Antigène

Voir toutes EIF4A1 Anticorps
EIF4A1 (Eukaryotic Translation Initiation Factor 4A1 (EIF4A1))

Reactivité

  • 51
  • 35
  • 35
  • 4
  • 4
  • 4
  • 4
  • 4
  • 4
  • 3
  • 2
  • 1
  • 1
  • 1
Humain, Rat, Souris

Hôte

  • 46
  • 5
Souris

Clonalité

  • 30
  • 21
Monoclonal

Conjugué

  • 33
  • 2
  • 2
  • 2
  • 2
  • 2
  • 2
  • 2
  • 2
  • 2
Cet anticorp EIF4A1 est non-conjugé

Application

  • 51
  • 33
  • 28
  • 12
  • 8
  • 7
  • 7
  • 5
  • 1
Western Blotting (WB), Immunofluorescence (IF), Immunohistochemistry (Paraffin-embedded Sections) (IHC (p))
  • Fonction

    eIF4A1 Monoclonal Antibody

    Specificité

    The antibody detects endogenous eIF4A1 protein.

    Purification

    The antibody was affinity-purified from mouse ascites by affinity-chromatography using specific immunogen

    Immunogène

    Synthetic Peptide

    Isotype

    IgG1
  • Indications d'application

    Optimal working dilutions should be determined experimentally by the investigator. Suggested starting dilutions are as follows: WB (1:1000-1:3000), IF (1:100-1:200), IHC-P (1:50-1:300).

    Restrictions

    For Research Use only
  • Format

    Liquid

    Concentration

    1 mg/mL

    Buffer

    PBS, pH 7.4, containing 0.02 % Sodium Azide as preservative and 50 % Glycerol.

    Agent conservateur

    Sodium azide

    Précaution d'utilisation

    This product contains Sodium azide: a POISONOUS AND HAZARDOUS SUBSTANCE which should be handled by trained staff only.

    Stock

    -20 °C

    Stockage commentaire

    Stable for one year at -20°C from date of shipment. For maximum recovery of product, centrifuge the original vial after thawing and prior to removing the cap. Aliquot to avoid repeated freezing and thawing.
  • Antigène

    EIF4A1 (Eukaryotic Translation Initiation Factor 4A1 (EIF4A1))

    Autre désignation

    eIF4A1

    Sujet

    Mouse Anti-eIF4A1 Monoclonal Antibody,eIF4A1 is a 406 amino acid ATP-dependent RNA helicase belonging to the DEAD box helicase family and eukaryotic initiation factor-4A subfamily with a helicase ATP-binding domain and a helicase C-terminal domain. eIF4F eukaryotic translation initiation complex is formed by the association of eIF4A1 with eIF4E and eIF4E kinase (MNK1), eIF4B, eIF4G, PABPC1. It is closely related to eIF4A2. eIF4A1 is a eukaryotic translation initiation factor involved in protein translation/synthesis where it helps in unwinding the secondary structure of RNA in the 5'-UTR of mRNAs, cap recognition, and is necessary for efficient binding mRNA to the 40S small ribosomal subunit, as well as subsequent scanning for the initiator codon. Ubiquitous expression of the enzyme eIF4A1 is seen in most tissues.,Eukaryotic initiation factor 4A-I

    ID gène

    1973

    UniProt

    P60842
Vous êtes ici:
Chat with us!