Tel:
+49 (0)241 95 163 153
Fax:
+49 (0)241 95 163 155
E-Mail:
orders@anticorps-enligne.fr

Smad2/3 anticorps

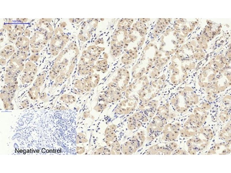
L’anticorps anti-Smad2/3 Polyclonal Lapin est utilisé pour la détection de Smad2/3 dans des échantillons de Humain, Rat, Souris et Singe. Il a été validé pour WB, ELISA et IHC (p).
N° du produit ABIN7217046
623,62 €
Plus frais de livraison 40,00 € et TVA
Destination: France
Envoi sous 10 à 14 jours ouvrables

Aperçu rapide pour Smad2/3 anticorps (ABIN7217046)

Antigène

Smad2/3 (SMAD2/3) (Smad2/3 Transcription Factor (SMAD2/3))

Reactivité

  • 53
  • 43
  • 42
  • 4
  • 4
  • 4
  • 2
  • 1
  • 1
  • 1
Humain, Rat, Souris, Singe

Hôte

  • 50
  • 2
  • 1
  • 1
Lapin

Clonalité

  • 44
  • 10
Polyclonal

Conjugué

  • 20
  • 3
  • 2
  • 2
  • 2
  • 2
  • 2
  • 2
  • 2
  • 2
  • 1
  • 1
  • 1
  • 1
  • 1
  • 1
  • 1
  • 1
  • 1
  • 1
  • 1
  • 1
  • 1
  • 1
  • 1
Cet anticorp Smad2/3 est non-conjugé

Application

  • 43
  • 14
  • 13
  • 13
  • 12
  • 11
  • 10
  • 8
  • 6
  • 5
  • 3
  • 2
Western Blotting (WB), ELISA, Immunohistochemistry (Paraffin-embedded Sections) (IHC (p))
  • Fonction

    Smad2/3 Polyclonal Antibody

    Specificité

    Smad2/3 Polyclonal Antibody detects endogenous levels of Smad2/3 protein.

    Purification

    The antibody was affinity-purified from rabbit antiserum by affinity-chromatography using epitope-specific immunogen

    Immunogène

    Synthesized peptide derived from human Smad2/3 around the non-phosphorylation site of T8

    Isotype

    IgG
  • Indications d'application

    Optimal working dilutions should be determined experimentally by the investigator. Suggested starting dilutions are as follows: WB (1:500-1:2000), IHC-P (1:100-1:300), ELISA (1:10000). Not yet tested in other applications.

    Commentaires

    Primary Antibody

    Restrictions

    For Research Use only
  • Format

    Liquid

    Concentration

    1 mg/mL

    Buffer

    PBS containing 50 % Glycerol, 0.5 % BSA and 0.02 % Sodium Azide.

    Agent conservateur

    Sodium azide

    Précaution d'utilisation

    This product contains Sodium azide: a POISONOUS AND HAZARDOUS SUBSTANCE which should be handled by trained staff only.

    Stock

    -20 °C

    Stockage commentaire

    Stable for one year at -20°C from date of shipment. For maximum recovery of product, centrifuge the original vial after thawing and prior to removing the cap. Aliquot to avoid repeated freezing and thawing.
  • Antigène

    Smad2/3 (SMAD2/3) (Smad2/3 Transcription Factor (SMAD2/3))

    Autre désignation

    Smad2/3

    Sujet

    Rabbit Anti-Smad2/3 Polyclonal Antibody,SMAD2, MADH2, MADR2, Mothers against decapentaplegic homolog 2, MAD homolog 2, Mothers against DPP homolog 2, JV18-1, Mad-related protein 2, hMAD-2, SMAD family member 2, SMAD 2, Smad2, hSMAD2, SMAD3, MADH3, Mothers against decapentaplegic,Mothers against decapentaplegic homolog 2 encoded by SMAD2 belongs to the SMAD, a family of proteins similar to the gene products of the Drosophila gene 'mothers against decapentaplegic' (Mad) and the C. elegans gene Sma. SMAD proteins are signal transducers and transcriptional modulators that mediate multiple signaling pathways. This protein mediates the signal of the transforming growth factor (TGF) -beta, and thus regulates multiple cellular processes, such as cell proliferation, apoptosis, and differentiation. This protein is recruited to the TGF-beta receptors through its interaction with the SMAD anchor for receptor activation (SARA) protein. In response to TGF-beta signal, this protein is phosphorylated by the TGF-beta receptors. The phosphorylation induces the dissociation of this protein with SARA and the association with the family member SMAD4. The association with SMAD4 is important for the translocation of this protein into the nucleus, where it binds to target promoters and forms a transcription repressor complex with other cofactors. This protein can also be phosphorylated by activin type 1 receptor kinase, and mediates the signal from the activin. Alternatively spliced transcript variants have been observed for this gene.,Mothers against decapentaplegic homolog 2

    Poids moléculaire

    observerd band 48kDa

    ID gène

    4087, 4088
Vous êtes ici:
Chat with us!