Tel:
+49 (0)241 95 163 153
Fax:
+49 (0)241 95 163 155
E-Mail:
orders@anticorps-enligne.fr

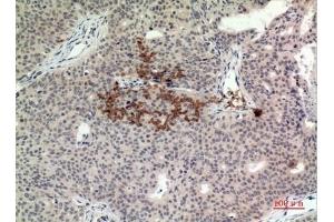
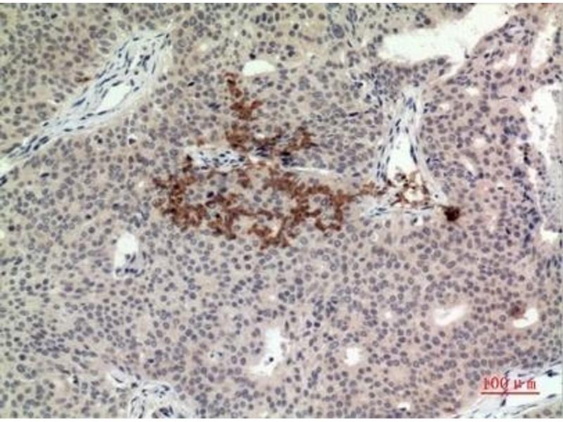
STING/TMEM173 anticorps (C-Term)

Cet anticorps Lapin Polyclonal détecte spécifiquement STING/TMEM173 dans WB, ELISA et IHC (p). Il présente une réactivité avec des échantillons de Humain et Souris.
N° du produit ABIN7218494
623,62 €
Plus frais de livraison 40,00 € et TVA
Destination: France
Envoi sous 10 à 14 jours ouvrables

Aperçu rapide pour STING/TMEM173 anticorps (C-Term) (ABIN7218494)

Antigène

Voir toutes STING/TMEM173 (TMEM173) Anticorps
STING/TMEM173 (TMEM173) (Transmembrane Protein 173 (TMEM173))

Reactivité

  • 91
  • 33
  • 22
  • 2
  • 2
  • 1
  • 1
  • 1
  • 1
  • 1
Humain, Souris

Hôte

  • 108
  • 5
Lapin

Clonalité

  • 71
  • 42
Polyclonal

Conjugué

  • 51
  • 8
  • 8
  • 4
  • 4
  • 4
  • 4
  • 4
  • 4
  • 4
  • 2
  • 2
  • 2
  • 1
  • 1
  • 1
  • 1
  • 1
  • 1
  • 1
  • 1
  • 1
  • 1
  • 1
  • 1
Cet anticorp STING/TMEM173 est non-conjugé

Application

  • 77
  • 32
  • 29
  • 28
  • 20
  • 18
  • 13
  • 13
  • 13
  • 11
  • 3
  • 3
  • 1
  • 1
  • 1
Western Blotting (WB), ELISA, Immunohistochemistry (Paraffin-embedded Sections) (IHC (p))
  • Épitope

    • 18
    • 15
    • 13
    • 8
    • 5
    • 3
    • 2
    • 2
    • 2
    • 1
    • 1
    • 1
    • 1
    • 1
    • 1
    • 1
    • 1
    • 1
    • 1
    • 1
    C-Term

    Fonction

    TMEM173 Polyclonal Antibody

    Specificité

    TMEM173 Polyclonal Antibody detects endogenous levels of TMEM173 protein.

    Purification

    The antibody was affinity-purified from rabbit antiserum by affinity-chromatography using epitope-specific immunogen

    Immunogène

    Synthesized peptide derived from the C-terminal region of human TMEM173

    Isotype

    IgG
  • Indications d'application

    Optimal working dilutions should be determined experimentally by the investigator. Suggested starting dilutions are as follows: WB (1:500-1:2000), IHC-P (1:100-1:300), ELISA (1:20000). Not yet tested in other applications.

    Commentaires

    Primary Antibody

    Restrictions

    For Research Use only
  • Format

    Liquid

    Concentration

    1 mg/mL

    Buffer

    PBS containing 50 % Glycerol, 0.5 % BSA and 0.02 % Sodium Azide.

    Agent conservateur

    Sodium azide

    Précaution d'utilisation

    This product contains Sodium azide: a POISONOUS AND HAZARDOUS SUBSTANCE which should be handled by trained staff only.

    Stock

    -20 °C

    Stockage commentaire

    Stable for one year at -20°C from date of shipment. For maximum recovery of product, centrifuge the original vial after thawing and prior to removing the cap. Aliquot to avoid repeated freezing and thawing.
  • Antigène

    STING/TMEM173 (TMEM173) (Transmembrane Protein 173 (TMEM173))

    Autre désignation

    TMEM173

    Sujet

    Rabbit Anti-TMEM173 Polyclonal Antibody,TMEM173, ERIS, MITA, STING, Transmembrane protein 173, Endoplasmic reticulum interferon stimulator, ERIS, Mediator of IRF3 activation, hMITA, Stimulator of interferon genes protein, hSTING,TMEM173 encodes a five transmembrane protein that functions as a major regulator of the innate immune response to viral and bacterial infections. The transmembrane protein 173 is a pattern recognition receptor that detects cytosolic nucleic acids and transmits signals that activate type I interferon responses. The encoded protein has also been shown to play a role in apoptotic signaling by associating with type II major histocompatibility complex. Mutations in this gene are the cause of infantile-onset STING-associated vasculopathy. Alternate splicing results in multiple transcript variants.,Transmembrane protein 173

    Poids moléculaire

    observerd band 42,23kDa

    ID gène

    340061

    UniProt

    Q86WV6

    Pathways

    Activation of Innate immune Response
Vous êtes ici:
Chat with us!