Tel:
+49 (0)241 95 163 153
Fax:
+49 (0)241 95 163 155
E-Mail:
orders@anticorps-enligne.fr

TUBB2A anticorps

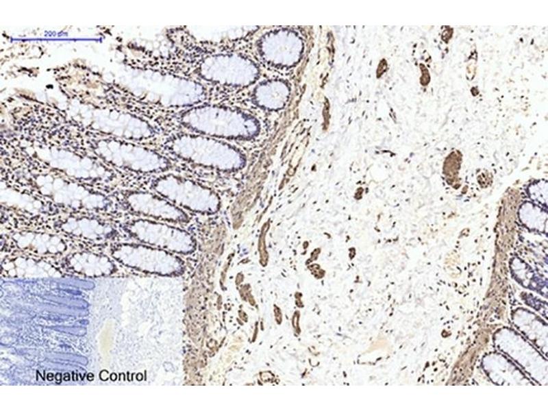
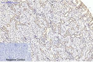
Cet anticorps anti-TUBB2A Monoclonal Souris (ABIN7212050) détecte spécifiquement TUBB2A dans WB, IP et IHC (p). L’anticorps est réactif avec des échantillons de Humain, Souris et Rat.
N° du produit ABIN7212050
623,62 €
Plus frais de livraison 40,00 € et TVA
Destination: France
Envoi sous 10 à 14 jours ouvrables

Aperçu rapide pour TUBB2A anticorps (ABIN7212050)

Antigène

Voir toutes TUBB2A Anticorps
TUBB2A (Tubulin, beta 2A (TUBB2A))

Reactivité

  • 59
  • 42
  • 42
  • 5
  • 5
  • 5
  • 5
  • 4
  • 4
  • 4
  • 3
  • 3
  • 3
  • 3
  • 3
  • 2
  • 1
Humain, Souris, Rat

Hôte

  • 43
  • 19
Souris

Clonalité

  • 36
  • 26
Monoclonal

Conjugué

  • 35
  • 4
  • 3
  • 3
  • 3
  • 3
  • 3
  • 3
  • 2
  • 1
  • 1
  • 1
Cet anticorp TUBB2A est non-conjugé

Application

  • 45
  • 19
  • 19
  • 17
  • 15
  • 13
  • 11
  • 11
  • 1
Western Blotting (WB), Immunoprecipitation (IP), Immunohistochemistry (Paraffin-embedded Sections) (IHC (p))
  • Fonction

    β II tubulin Monoclonal Antibody

    Specificité

    The antibody detects endogenous β II tubulin protein.

    Purification

    The antibody was affinity-purified from mouse ascites by affinity-chromatography using specific immunogen

    Immunogène

    Synthetic Peptide

    Isotype

    IgG1
  • Indications d'application

    Optimal working dilutions should be determined experimentally by the investigator. Suggested starting dilutions are as follows: WB (1:50000-1:100000), IF (1:100-1:200), IHC-P (1:200), IP (1:200).

    Commentaires

    Primary Antibody

    Restrictions

    For Research Use only
  • Format

    Liquid

    Concentration

    1 mg/mL

    Buffer

    PBS, pH 7.4, containing 0.02 % Sodium Azide as preservative and 50 % Glycerol.

    Agent conservateur

    Sodium azide

    Précaution d'utilisation

    This product contains Sodium azide: a POISONOUS AND HAZARDOUS SUBSTANCE which should be handled by trained staff only.

    Stock

    -20 °C

    Stockage commentaire

    Stable for one year at -20°C from date of shipment. For maximum recovery of product, centrifuge the original vial after thawing and prior to removing the cap. Aliquot to avoid repeated freezing and thawing.
  • Antigène

    TUBB2A (Tubulin, beta 2A (TUBB2A))

    Autre désignation

    beta II tubulin

    Sujet

    Mouse Anti-β II tubulin Monoclonal Antibody,Microtubules, key participants in processes such as mitosis and intracellular transport, are composed of heterodimers of alpha- and beta-tubulins. Tubulin beta 2A class IIa encoded by TUBB2A is a beta-tubulin. Defects in TUBB2A are associated with complex cortical dysplasia with other brain malformations-5. Two transcript variants encoding distinct isoforms have been found for TUBB2A.,Tubulin beta-2A chain

    Poids moléculaire

    observerd band 50kDa

    ID gène

    7280

    UniProt

    Q13885

    Pathways

    Dynamique des Microtubules, M Phase
Vous êtes ici:
Chat with us!