FUT8 anticorps (AA 311-410)
Aperçu rapide pour FUT8 anticorps (AA 311-410) (ABIN716801)
Antigène
Voir toutes FUT8 AnticorpsReactivité
Hôte
Clonalité
Conjugué
Application
-
-
Épitope
- AA 311-410
-
Réactivité croisée
- Humain, Rat
-
Homologie
- Mouse,Cow,Pig,Horse,Rabbit
-
Purification
- Purified by Protein A.
-
Immunogène
- KLH conjugated synthetic peptide derived from human FUT8
-
Isotype
- IgG
-
-
-
-
Indications d'application
-
ELISA 1:500-1000
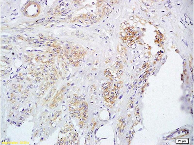
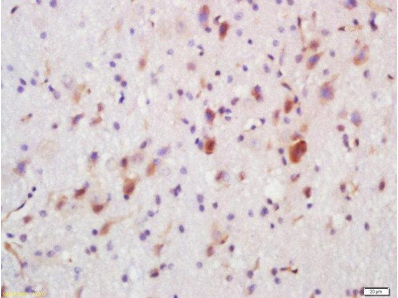
IHC-P 1:200-400
IHC-F 1:100-500
IF(IHC-P) 1:50-200
IF(IHC-F) 1:50-200
IF(ICC) 1:50-200 -
Restrictions
- For Research Use only
-
-
-
Format
- Liquid
-
Concentration
- 1 μg/μL
-
Buffer
- 0.01M TBS( pH 7.4) with 1 % BSA, 0.02 % Proclin300 and 50 % Glycerol.
-
Agent conservateur
- ProClin
-
Précaution d'utilisation
- This product contains ProClin: a POISONOUS AND HAZARDOUS SUBSTANCE, which should be handled by trained staff only.
-
Stock
- 4 °C,-20 °C
-
Stockage commentaire
- Shipped at 4°C. Store at -20°C for one year. Avoid repeated freeze/thaw cycles.
-
Date de péremption
- 12 months
-
-
- FUT8 (Fucosyltransferase 8 (Alpha (1,6) Fucosyltransferase) (FUT8))
-
Autre désignation
- Fut8
-
Sujet
-
Synonyms: Alpha-(1,6)-fucosyltransferase, Alpha1-6FucT, Fucosyltransferase 8, GDP-L-Fuc:N-acetyl-beta-D-glucosaminide alpha1,6-fucosyltransferase, GDP-fucose--glycoprotein fucosyltransferase, Glycoprotein 6-alpha-L-fucosyltransferase, FUT8
Background: Catalyzes the addition of fucose in alpha 1-6 linkage to the first GlcNAc residue, next to the peptide chains in N-glycans.
-
ID gène
- 2530
-
UniProt
- Q9BYC5
Antigène
-