This product contains Sodium azide: a POISONOUS AND HAZARDOUS SUBSTANCE which should be handled by trained staff only.
Stock
-20 °C
Stockage commentaire
Store at -20°C. Avoid freeze / thaw cycles.
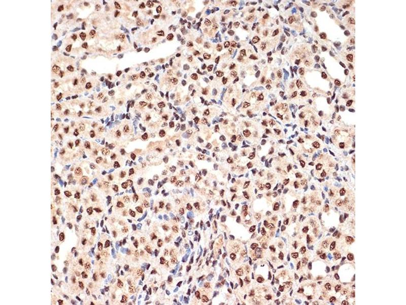
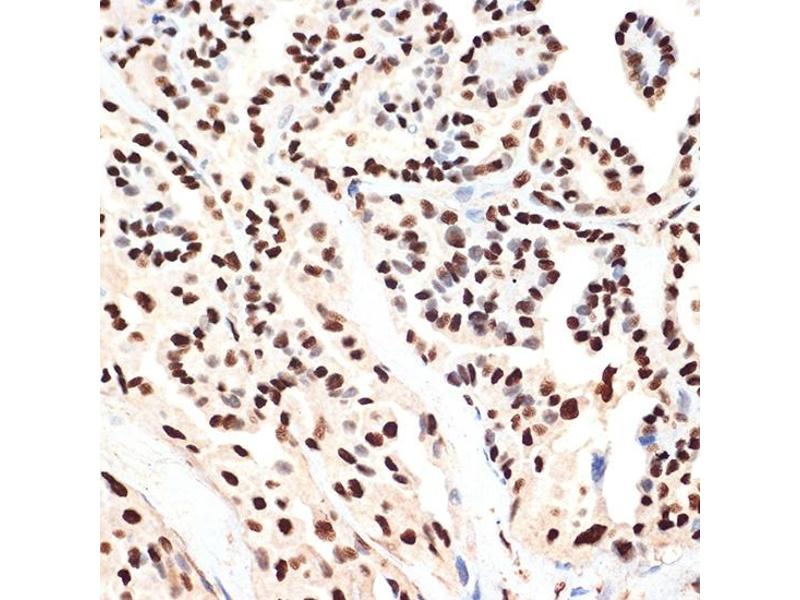
Antigène
ANP32B
(Acidic (Leucine-Rich) Nuclear phosphoprotein 32 Family, Member B (ANP32B))
Autre désignation
ANP32B
Sujet
Multifunctional protein that is involved in the regulation of many processes including cell proliferation, apoptosis, cell cycle progression or transcription. Regulates the proliferation of neuronal stem cells, differentiation of leukemic cells and progression from G1 to S phase of the cell cycle. As negative regulator of caspase-3-dependent apoptosis, may act as an antagonist of ANP32A in regulating tissue homeostasis. Exhibits histone chaperone properties, able to recruit histones to certain promoters, thus regulating the transcription of specific genes. Plays also an essential role in the nucleocytoplasmic transport of specific mRNAs via the uncommon nuclear mRNA export receptor XPO1/CRM1. Participates in the regulation of adequate adaptive immune responses by acting on mRNA expression and cell proliferation (By similarity.,APRIL, PHAPI2, SSP29,Apoptosis,Apoptosis_Caspases,Cell Biology & Developmental Biology,Cell Cycle,ANP32B