Tel:
+49 (0)241 95 163 153
Fax:
+49 (0)241 95 163 155
E-Mail:
orders@anticorps-enligne.fr

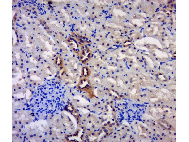
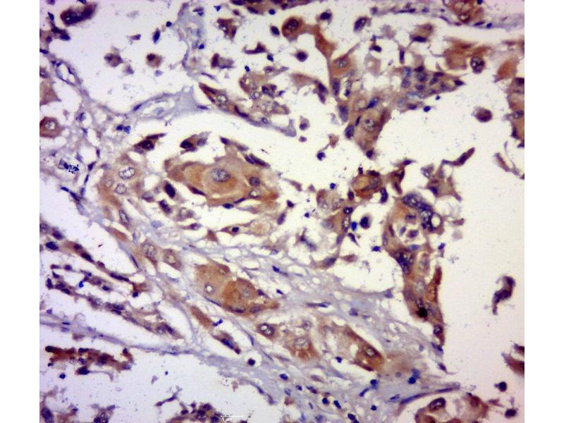
PRUNE anticorps (AA 201-300)

L’anticorps anti-PRUNE Polyclonal Lapin est utilisé pour la détection de PRUNE dans des échantillons de Souris. Il a été validé pour WB, ELISA, IF (cc), IF (p), IHC (p) et IHC (fro).
N° du produit ABIN717086
384,62 €
Plus frais de livraison 40,00 € et TVA
100 μL
Destination: France
Envoi sous 8 à 12 jours ouvrables

Aperçu rapide pour PRUNE anticorps (AA 201-300) (ABIN717086)

Antigène

Voir toutes PRUNE Anticorps
PRUNE (Prune Exopolyphosphatase (PRUNE))

Reactivité

  • 32
  • 16
  • 2
  • 1
  • 1
  • 1
  • 1
  • 1
  • 1
  • 1
Souris

Hôte

  • 40
  • 6
Lapin

Clonalité

  • 42
  • 4
Polyclonal

Conjugué

  • 17
  • 4
  • 3
  • 3
  • 1
  • 1
  • 1
  • 1
  • 1
  • 1
  • 1
  • 1
  • 1
  • 1
  • 1
  • 1
  • 1
  • 1
  • 1
  • 1
  • 1
  • 1
  • 1
Cet anticorp PRUNE est non-conjugé

Application

  • 34
  • 17
  • 12
  • 12
  • 11
  • 10
  • 6
  • 2
  • 2
  • 1
Western Blotting (WB), ELISA, Immunofluorescence (Cultured Cells) (IF (cc)), Immunofluorescence (Paraffin-embedded Sections) (IF (p)), Immunohistochemistry (Paraffin-embedded Sections) (IHC (p)), Immunohistochemistry (Frozen Sections) (IHC (fro))
  • Épitope

    • 14
    • 8
    • 5
    • 5
    • 4
    • 1
    • 1
    AA 201-300

     Réactivité croisée

    Souris

    Homologie

    Human,Rat,Dog,Cow,Sheep,Pig,Horse,Rabbit

    Purification

    Purified by Protein A.

    Immunogène

    KLH conjugated synthetic peptide derived from human DRES17

    Isotype

    IgG
  • Indications d'application

    WB 1:300-5000
    ELISA 1:500-1000
    IHC-P 1:200-400
    IHC-F 1:100-500
    IF(IHC-P) 1:50-200
    IF(IHC-F) 1:50-200
    IF(ICC) 1:50-200

    Restrictions

    For Research Use only
  • Format

    Liquid

    Concentration

    1 μg/μL

    Buffer

    0.01M TBS( pH 7.4) with 1 % BSA, 0.02 % Proclin300 and 50 % Glycerol.

    Agent conservateur

    ProClin

    Précaution d'utilisation

    This product contains ProClin: a POISONOUS AND HAZARDOUS SUBSTANCE, which should be handled by trained staff only.

    Stock

    4 °C,-20 °C

    Stockage commentaire

    Shipped at 4°C. Store at -20°C for one year. Avoid repeated freeze/thaw cycles.

    Date de péremption

    12 months
  • Antigène

    PRUNE (Prune Exopolyphosphatase (PRUNE))

    Autre désignation

    Dres17

    Sujet

    Synonyms: DRES17, Drosophila-related expressed sequence 17, hprune, HTCD37, Prune homolog, PRUNE like protein, TcD37 homolog, PRUNE_HUMAN.

    Background: PRUNE, the human homologue of the Drosophila gene, is located in 1q21.3, a region highly amplified in human sarcomas, malignant tumours of mesenchymal origin. Human prune (h-prune), a phosphoesterase DHH family appertaining protein, physically interacts with nm23-H1, a metastasis suppressor gene. h-prune is involved in cellular motility and metastasis formation. Metastatic breast cancers were found to overexpress h-prune, h-prune was also found to be highly expressed in colorectal and pancreatic cancers. Hence h-prune is considered useful as a marker for tumor aggressiveness.

    ID gène

    58497
Vous êtes ici:
Chat with us!