Tel:
+49 (0)241 95 163 153
Fax:
+49 (0)241 95 163 155
E-Mail:
orders@anticorps-enligne.fr

CEACAM6 anticorps

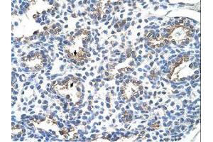
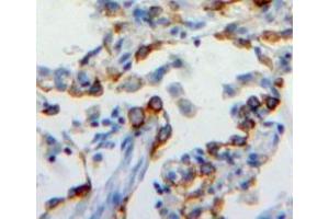
Cet anticorps Lapin Monoclonal détecte spécifiquement CEACAM6 dans WB et IF. Il présente une réactivité avec des échantillons de Humain.
N° du produit ABIN7266085
330,00 €
Plus frais de livraison 40,00 € et TVA
Destination: France
Envoi sous 8 à 10 jours ouvrables

Aperçu rapide pour CEACAM6 anticorps (ABIN7266085)

Antigène

Voir toutes CEACAM6 Anticorps
CEACAM6 (Carcinoembryonic Antigen-Related Cell Adhesion Molecule 6 (CEACAM6))

Reactivité

  • 68
  • 14
  • 14
  • 1
Humain

Hôte

  • 46
  • 13
  • 11
Lapin

Clonalité

  • 35
  • 31
  • 2
Monoclonal

Conjugué

  • 30
  • 6
  • 5
  • 5
  • 4
  • 2
  • 2
  • 2
  • 2
  • 2
  • 2
  • 2
  • 2
  • 1
  • 1
Cet anticorp CEACAM6 est non-conjugé

Application

  • 35
  • 20
  • 18
  • 14
  • 14
  • 13
  • 5
  • 2
  • 1
  • 1
  • 1
  • 1
  • 1
  • 1
  • 1
Western Blotting (WB), Immunofluorescence (IF)
Vous êtes ici:
Chat with us!