Tel:
+49 (0)241 95 163 153
Fax:
+49 (0)241 95 163 155
E-Mail:
orders@anticorps-enligne.fr

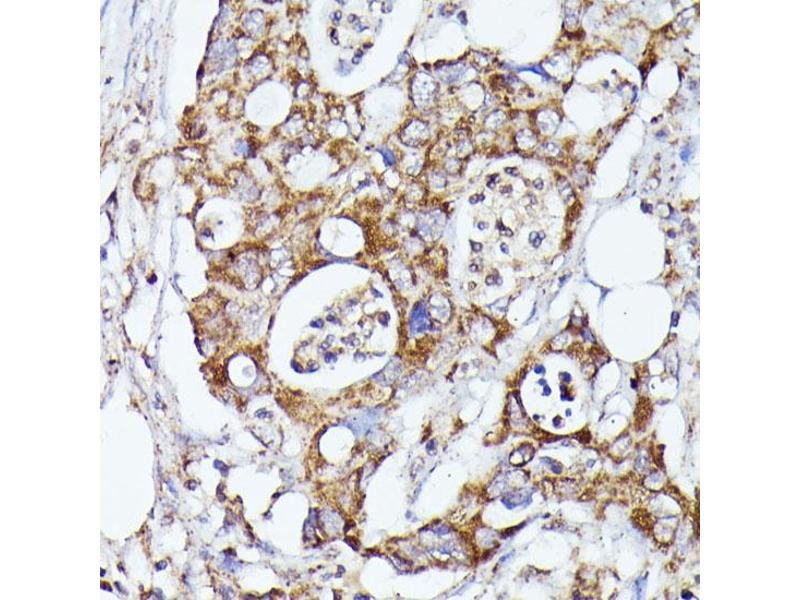
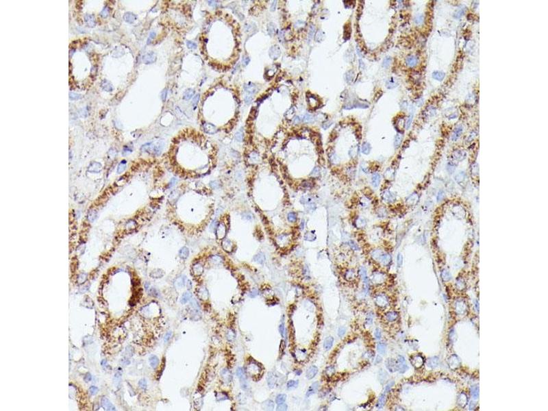
CDK5RAP1 anticorps (AA 1-350)

Cet anticorps Lapin Polyclonal détecte spécifiquement CDK5RAP1 dans WB et IHC. Il présente une réactivité avec des échantillons de Humain.
N° du produit ABIN7266235
320,00 €
Plus frais de livraison 40,00 € et TVA
Destination: France
Envoi sous 8 à 10 jours ouvrables

Aperçu rapide pour CDK5RAP1 anticorps (AA 1-350) (ABIN7266235)

Antigène

Voir toutes CDK5RAP1 Anticorps
CDK5RAP1 (CDK5 Regulatory Subunit Associated Protein 1 (CDK5RAP1))

Reactivité

  • 40
  • 25
  • 24
  • 4
  • 3
  • 3
  • 3
  • 3
  • 2
  • 2
  • 2
Humain

Hôte

  • 40
Lapin

Clonalité

  • 40
Polyclonal

Conjugué

  • 21
  • 2
  • 2
  • 2
  • 1
  • 1
  • 1
  • 1
  • 1
  • 1
  • 1
  • 1
  • 1
  • 1
  • 1
  • 1
  • 1
Cet anticorp CDK5RAP1 est non-conjugé

Application

  • 37
  • 15
  • 13
  • 12
  • 9
  • 6
  • 2
  • 1
Western Blotting (WB), Immunohistochemistry (IHC)
  • Épitope

    • 8
    • 6
    • 2
    • 2
    • 1
    • 1
    • 1
    • 1
    • 1
    • 1
    AA 1-350

    Fonction

    CDK5RAP1 Rabbit pAb

    Séquence

    MHPLQCVLQV QRSLGWGPLA SVSWLSLRMC RAHSSLSSTM CPSPERQEDG ARKDFSSRLA AGPTFQHFLK SASAPQEKLS SEVEDPPPYL MMDELLGRQR KVYLETYGCQ MNVNDTEIAW SILQKSGYLR TSNLQEADVI LLVTCSIREK AEQTIWNRLH QLKALKTRRP RSRVPLRIGI LGCMAERLKE EILNREKMVD ILAGPDAYRD LPRLLAVAES GQQAANVLLS LDETYADVMP VQTSASATSA FVSIMRGCDN MCSYCIVPFT RGRERSRPIA SILEEVKKLS EQGLKEVTLL GQNVNSFRDN SEVQFNSAVP TNLSRGFTTN YKTKQGGLRF AHLLDQVSRV

     Réactivité croisée

    Humain, Souris, Rat

    Attributs du produit

    Polyclonal Antibodies

    Purification

    Affinity purification

    Immunogène

    Recombinant fusion protein containing a sequence corresponding to amino acids 1-350 of human CDK5RAP1 (NP_057492.2).

    Isotype

    IgG
  • Indications d'application

    WB,1:500 - 1:2000,IHC,1:50 - 1:100

    Restrictions

    For Research Use only
  • Format

    Liquid

    Buffer

    PBS with 0.02 % sodium azide,50 % glycerol, pH 7.3.

    Agent conservateur

    Sodium azide

    Précaution d'utilisation

    This product contains Sodium azide: a POISONOUS AND HAZARDOUS SUBSTANCE which should be handled by trained staff only.

    Stock

    -20 °C

    Stockage commentaire

    Store at -20°C. Avoid freeze / thaw cycles.
  • Antigène

    CDK5RAP1 (CDK5 Regulatory Subunit Associated Protein 1 (CDK5RAP1))

    Autre désignation

    CDK5RAP1

    Sujet

    This gene encodes a regulator of cyclin-dependent kinase 5 activity. This protein has also been reported to modify RNA by adding a methylthio-group and may thus have a dual function as an RNA methylthiotransferase and as an inhibitor of cyclin-dependent kinase 5 activity. Alternative splicing results in multiple transcript variants that encode different isoforms.,CDK5RAP1,C20orf34,C42,CGI-05,HSPC167,Kinase,Cell Biology & Developmental Biology,Cell Cycle,CDK5RAP1

    Poids moléculaire

    48kDa/56kDa/57kDa/64kDa/66kDa/67kDa

    ID gène

    51654

    UniProt

    Q96SZ6
Vous êtes ici:
Chat with us!