Tel:
+49 (0)241 95 163 153
Fax:
+49 (0)241 95 163 155
E-Mail:
orders@anticorps-enligne.fr

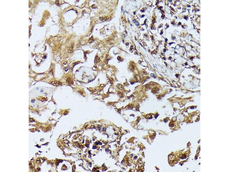
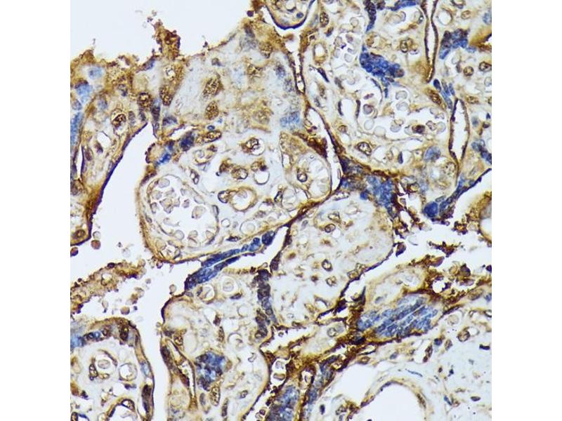
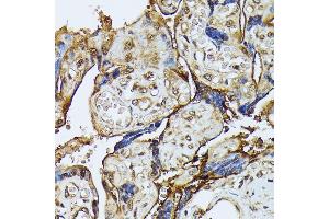
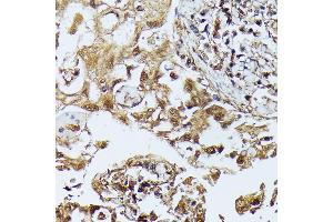
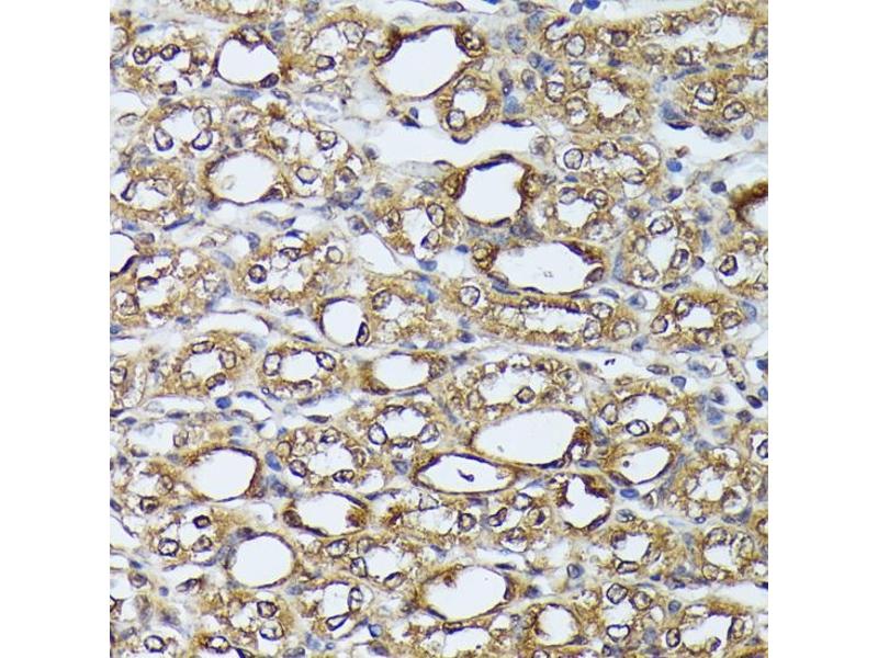
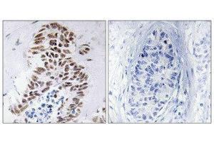
DAPK3 anticorps (AA 1-100)

Cet anticorps Lapin Polyclonal détecte spécifiquement DAPK3 dans WB, IHC et IF. Il présente une réactivité avec des échantillons de Humain.
N° du produit ABIN7266712
320,00 €
Plus frais de livraison 40,00 € et TVA
Destination: France
Envoi sous 8 à 10 jours ouvrables

Aperçu rapide pour DAPK3 anticorps (AA 1-100) (ABIN7266712)

Antigène

Voir toutes DAPK3 Anticorps
DAPK3 (Death-Associated Protein Kinase 3 (DAPK3))

Reactivité

  • 58
  • 49
  • 31
  • 2
  • 1
  • 1
  • 1
Humain

Hôte

  • 81
  • 3
Lapin

Clonalité

  • 79
  • 5
Polyclonal

Conjugué

  • 40
  • 5
  • 5
  • 4
  • 2
  • 2
  • 2
  • 2
  • 2
  • 2
  • 2
  • 2
  • 2
  • 2
  • 2
  • 1
  • 1
  • 1
  • 1
  • 1
  • 1
  • 1
  • 1
Cet anticorp DAPK3 est non-conjugé

Application

  • 71
  • 33
  • 26
  • 26
  • 21
  • 10
  • 10
  • 6
  • 5
  • 5
  • 3
  • 1
  • 1
Western Blotting (WB), Immunohistochemistry (IHC), Immunofluorescence (IF)
  • Épitope

    • 18
    • 15
    • 7
    • 6
    • 4
    • 3
    • 3
    • 3
    • 2
    • 2
    • 2
    • 2
    • 2
    • 1
    • 1
    • 1
    • 1
    • 1
    • 1
    • 1
    • 1
    • 1
    AA 1-100

    Fonction

    DAPK3 Rabbit pAb

    Séquence

    MSTFRQEDVE DHYEMGEELG SGQFAIVRKC RQKGTGKEYA AKFIKKRRLS SSRRGVSREE IEREVNILRE IRHPNIITLH DIFENKTDVV LILELVSGGE

     Réactivité croisée

    Humain, Souris, Rat

    Attributs du produit

    Polyclonal Antibodies

    Purification

    Affinity purification

    Immunogène

    A synthetic peptide corresponding to a sequence within amino acids 1-100 of human DAPK3 (NP_001339.1).

    Isotype

    IgG
  • Indications d'application

    WB,1:500 - 1:2000,IHC,1:50 - 1:100,IF,1:50 - 1:100

    Restrictions

    For Research Use only
  • Format

    Liquid

    Buffer

    PBS with 0.02 % sodium azide,50 % glycerol, pH 7.3.

    Agent conservateur

    Sodium azide

    Précaution d'utilisation

    This product contains Sodium azide: a POISONOUS AND HAZARDOUS SUBSTANCE which should be handled by trained staff only.

    Stock

    -20 °C

    Stockage commentaire

    Store at -20°C. Avoid freeze / thaw cycles.
  • Antigène

    DAPK3 (Death-Associated Protein Kinase 3 (DAPK3))

    Autre désignation

    DAPK3

    Sujet

    Death-associated protein kinase 3 (DAPK3) induces morphological changes in apoptosis when overexpressed in mammalian cells. These results suggest that DAPK3 may play a role in the induction of apoptosis.,DAPK3,DLK,ZIP,ZIPK,Cancer,Invasion and Metastasis,Signal Transduction,Kinase,Serine/threonine kinases,Cell Biology & Developmental Biology,Apoptosis,Death Receptor Signaling Pathway,DAPK3

    Poids moléculaire

    37kDa/52kDa

    ID gène

    1613

    UniProt

    O43293
Vous êtes ici:
Chat with us!