FAM98B anticorps (AA 1-225)
Aperçu rapide pour FAM98B anticorps (AA 1-225) (ABIN7267122)
Antigène
Reactivité
Hôte
Clonalité
Conjugué
Application
-
-
Épitope
- AA 1-225
-
Fonction
- FAM98B Rabbit pAb
-
Réactivité croisée
- Humain, Souris, Rat
-
Attributs du produit
- Polyclonal Antibodies
-
Purification
- Affinity purification
-
Immunogène
- Recombinant fusion protein containing a sequence corresponding to amino acids 1-225 of human FAM98B (NP_775882.2).
-
Isotype
- IgG
-
-
-
-
Indications d'application
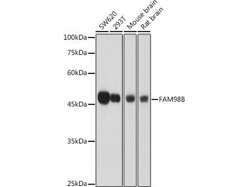
- WB,1:500 - 1:2000
-
Restrictions
- For Research Use only
-
-
-
Format
- Liquid
-
Buffer
- PBS with 0.02 % sodium azide,50 % glycerol, pH 7.3.
-
Agent conservateur
- Sodium azide
-
Précaution d'utilisation
- This product contains Sodium azide: a POISONOUS AND HAZARDOUS SUBSTANCE which should be handled by trained staff only.
-
Stock
- -20 °C
-
Stockage commentaire
- Store at -20°C. Avoid freeze / thaw cycles.
-
-
- FAM98B (Family with Sequence Similarity 98, Member B (FAM98B))
-
Autre désignation
- FAM98B
-
Sujet
- Positively stimulates PRMT1-induced protein arginine dimethylated arginine methylation. Promotes colorectal cancer cell malignancy.,FAM98B
-
Poids moléculaire
- 45kDa
-
ID gène
- 283742
-
UniProt
- Q52LJ0
Antigène
-