Tel:
+49 (0)241 95 163 153
Fax:
+49 (0)241 95 163 155
E-Mail:
orders@anticorps-enligne.fr

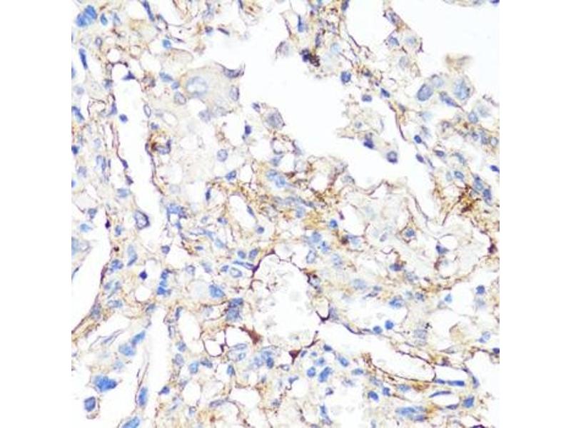
Fibronectin 1 anticorps (AA 2200-2355)

Cet anticorps anti-Fibronectin 1 Polyclonal Lapin (ABIN7267194) détecte spécifiquement Fibronectin 1 dans WB et IHC. L’anticorps est réactif avec des échantillons de Humain.
N° du produit ABIN7267194
320,00 €
Plus frais de livraison 40,00 € et TVA
Destination: France
Envoi sous 8 à 10 jours ouvrables

Aperçu rapide pour Fibronectin 1 anticorps (AA 2200-2355) (ABIN7267194)

Antigène

Voir toutes Fibronectin 1 (FN1) Anticorps
Fibronectin 1 (FN1)

Reactivité

  • 102
  • 37
  • 34
  • 7
  • 6
  • 6
  • 5
  • 5
  • 4
  • 3
  • 3
  • 1
  • 1
  • 1
Humain

Hôte

  • 81
  • 34
  • 1
  • 1
Lapin

Clonalité

  • 74
  • 42
Polyclonal

Conjugué

  • 71
  • 12
  • 10
  • 4
  • 1
  • 1
  • 1
  • 1
  • 1
  • 1
  • 1
  • 1
  • 1
  • 1
  • 1
  • 1
  • 1
  • 1
  • 1
  • 1
  • 1
  • 1
  • 1
  • 1
Cet anticorp Fibronectin 1 est non-conjugé

Application

  • 74
  • 54
  • 27
  • 18
  • 17
  • 13
  • 13
  • 10
  • 9
  • 8
  • 7
  • 7
  • 6
  • 2
  • 1
  • 1
  • 1
  • 1
Western Blotting (WB), Immunohistochemistry (IHC)
  • Épitope

    • 15
    • 8
    • 6
    • 5
    • 4
    • 3
    • 3
    • 3
    • 2
    • 2
    • 2
    • 1
    • 1
    • 1
    • 1
    • 1
    • 1
    • 1
    • 1
    • 1
    AA 2200-2355

    Fonction

    Fibronectin Rabbit pAb

    Séquence

    LLCQCLGFGS GHFRCDSSRW CHDNGVNYKI GEKWDRQGEN GQMMSCTCLG NGKGEFKCDP HEATCYDDGK TYHVGEQWQK EYLGAICSCT CFGGQRGWRC DNCRRPGGEP SPEGTTGQSY NQYSQRYHQR TNTNVNCPIE CFMPLDVQAD REDSRE

     Réactivité croisée

    Humain, Souris

    Attributs du produit

    Polyclonal Antibodies

    Purification

    Affinity purification

    Immunogène

    Recombinant fusion protein containing a sequence corresponding to amino acids 2200-2355 of human Fibronectin (NP_002017.1).

    Isotype

    IgG
  • Indications d'application

    WB,1:500 - 1:1000,IHC,1:50 - 1:200

    Restrictions

    For Research Use only
  • Format

    Liquid

    Buffer

    PBS with 0.02 % sodium azide,50 % glycerol, pH 7.3.

    Agent conservateur

    Sodium azide

    Précaution d'utilisation

    This product contains Sodium azide: a POISONOUS AND HAZARDOUS SUBSTANCE which should be handled by trained staff only.

    Stock

    -20 °C

    Stockage commentaire

    Store at -20°C. Avoid freeze / thaw cycles.
  • Antigène

    Fibronectin 1 (FN1)

    Autre désignation

    FN1

    Sujet

    This gene encodes fibronectin, a glycoprotein present in a soluble dimeric form in plasma, and in a dimeric or multimeric form at the cell surface and in extracellular matrix. The encoded preproprotein is proteolytically processed to generate the mature protein. Fibronectin is involved in cell adhesion and migration processes including embryogenesis, wound healing, blood coagulation, host defense, and metastasis. The gene has three regions subject to alternative splicing, with the potential to produce 20 different transcript variants, at least one of which encodes an isoform that undergoes proteolytic processing. The full-length nature of some variants has not been determined.,FN1,CIG,ED-B,FINC,FN,FNZ,GFND,GFND2,LETS,MSF,fibronectin,Cancer,Invasion and Metastasis,Signal Transduction,Cell Biology & Developmental Biology,Cytoskeleton,Extracellular Matrix,Stem Cells,Mesenchymal Stem Cells,Neural Stem Cells,Cardiovascular,Angiogenesis,FN1

    Poids moléculaire

    71-73kDa/221-272kDa

    ID gène

    2335

    UniProt

    P02751

    Pathways

    Cellular Response to Molecule of Bacterial Origin, Carbohydrate Homeostasis, Autophagy
Vous êtes ici:
Chat with us!