Tel:
+49 (0)241 95 163 153
Fax:
+49 (0)241 95 163 155
E-Mail:
orders@anticorps-enligne.fr

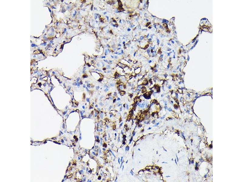
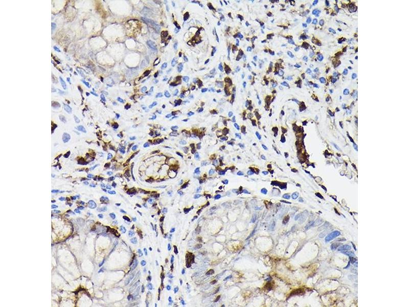
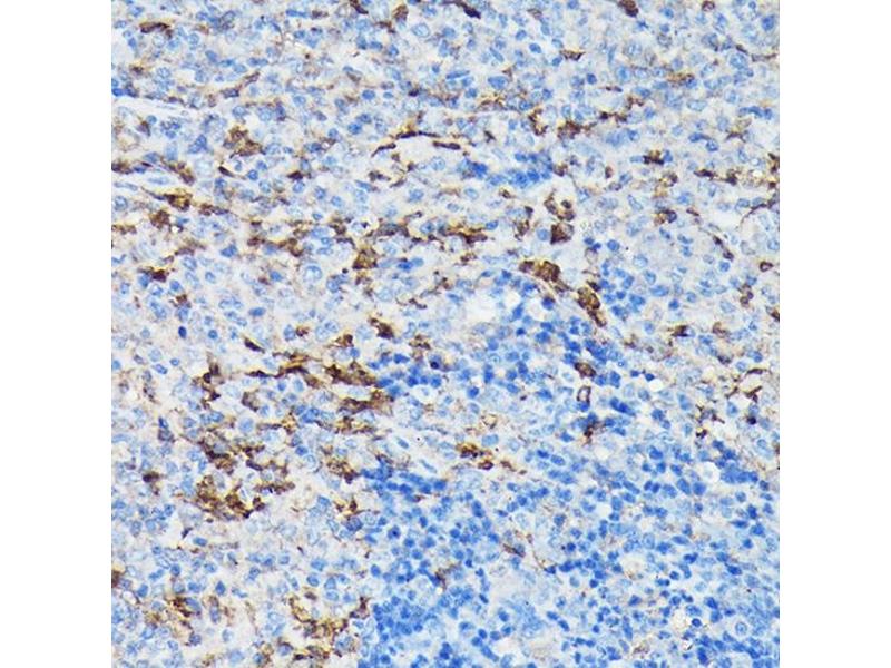
Gelsolin anticorps (AA 543-782)

Cet anticorps anti-Gelsolin Polyclonal Lapin (ABIN7267365) détecte spécifiquement Gelsolin dans WB, IHC et IF. L’anticorps est réactif avec des échantillons de Humain.
N° du produit ABIN7267365
320,00 €
Plus frais de livraison 40,00 € et TVA
Destination: France
Envoi sous 8 à 10 jours ouvrables

Aperçu rapide pour Gelsolin anticorps (AA 543-782) (ABIN7267365)

Antigène

Voir toutes Gelsolin (GSN) Anticorps
Gelsolin (GSN)

Reactivité

  • 128
  • 43
  • 41
  • 11
  • 8
  • 4
  • 3
  • 2
  • 2
  • 2
  • 2
  • 1
  • 1
Humain

Hôte

  • 101
  • 34
  • 4
  • 2
Lapin

Clonalité

  • 81
  • 60
Polyclonal

Conjugué

  • 81
  • 11
  • 5
  • 4
  • 4
  • 4
  • 4
  • 4
  • 4
  • 2
  • 2
  • 2
  • 1
  • 1
  • 1
  • 1
  • 1
  • 1
  • 1
  • 1
  • 1
  • 1
  • 1
  • 1
  • 1
  • 1
Cet anticorp Gelsolin est non-conjugé

Application

  • 105
  • 54
  • 40
  • 35
  • 30
  • 26
  • 24
  • 18
  • 14
  • 13
  • 5
  • 3
  • 2
  • 1
Western Blotting (WB), Immunohistochemistry (IHC), Immunofluorescence (IF)
  • Épitope

    • 16
    • 9
    • 5
    • 5
    • 5
    • 4
    • 3
    • 3
    • 3
    • 3
    • 3
    • 3
    • 2
    • 2
    • 2
    • 1
    • 1
    • 1
    • 1
    • 1
    • 1
    • 1
    • 1
    • 1
    • 1
    • 1
    • 1
    • 1
    AA 543-782

    Fonction

    Gelsolin Rabbit pAb

    Séquence

    PMIIYKGGTS REGGQTAPAS TRLFQVRANS AGATRAVEVL PKAGALNSND AFVLKTPSAA YLWVGTGASE AEKTGAQELL RVLRAQPVQV AEGSEPDGFW EALGGKAAYR TSPRLKDKKM DAHPPRLFAC SNKIGRFVIE EVPGELMQED LATDDVMLLD TWDQVFVWVG KDSQEEEKTE ALTSAKRYIE TDPANRDRRT PITVVKQGFE PPSFVGWFLG WDDDYWSVDP LDRAMAELAA

     Réactivité croisée

    Humain, Souris, Rat

    Attributs du produit

    Polyclonal Antibodies

    Purification

    Affinity purification

    Immunogène

    Recombinant fusion protein containing a sequence corresponding to amino acids 543-782 of human Gelsolin (NP_000168.1).

    Isotype

    IgG
  • Indications d'application

    WB,1:500 - 1:2000,IHC,1:50 - 1:200,IF,1:50 - 1:200

    Restrictions

    For Research Use only
  • Format

    Liquid

    Buffer

    PBS with 0.02 % sodium azide,50 % glycerol, pH 7.3.

    Agent conservateur

    Sodium azide

    Précaution d'utilisation

    This product contains Sodium azide: a POISONOUS AND HAZARDOUS SUBSTANCE which should be handled by trained staff only.

    Stock

    -20 °C

    Stockage commentaire

    Store at -20°C. Avoid freeze / thaw cycles.
  • Antigène

    Gelsolin (GSN)

    Autre désignation

    GSN

    Sujet

    The protein encoded by this gene binds to the "plus" ends of actin monomers and filaments to prevent monomer exchange. The encoded calcium-regulated protein functions in both assembly and disassembly of actin filaments. Defects in this gene are a cause of familial amyloidosis Finnish type (FAF). Multiple transcript variants encoding several different isoforms have been found for this gene.,GSN;ADF;AGEL;gelsolin,Signal Transduction,Cell Biology & Developmental Biology,Apoptosis,Cytoskeleton,Microfilaments,Actins,GSN

    Poids moléculaire

    80kDa/81kDa/85kDa

    ID gène

    2934

    UniProt

    P06396

    Pathways

    Caspase Cascade in Apoptosis, Regulation of Actin Filament Polymerization, Autophagy
Vous êtes ici:
Chat with us!