Tel:
+49 (0)241 95 163 153
Fax:
+49 (0)241 95 163 155
E-Mail:
orders@anticorps-enligne.fr

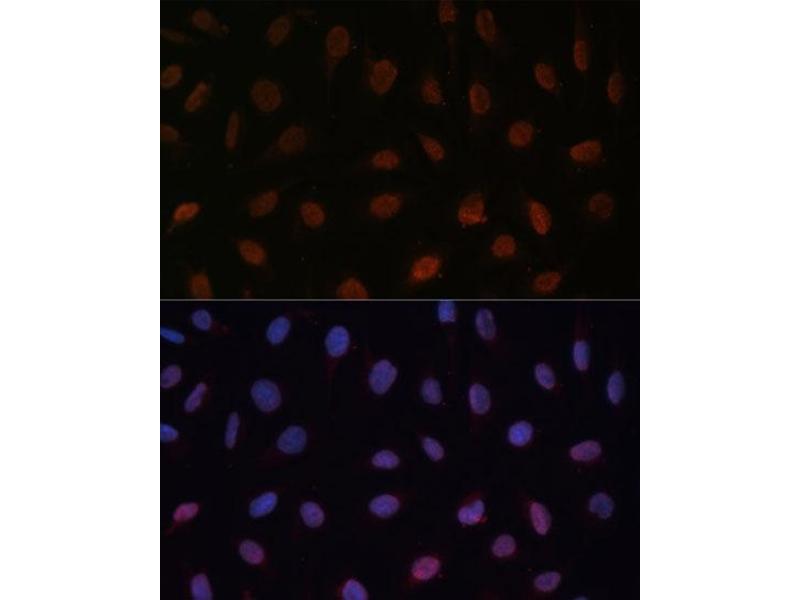
MED25 anticorps (AA 30-200)

Cet anticorps anti-MED25 Polyclonal Lapin (ABIN7268442) détecte spécifiquement MED25 dans WB et IF. L’anticorps est réactif avec des échantillons de Humain.
N° du produit ABIN7268442
320,00 €
Plus frais de livraison 40,00 € et TVA
Destination: France
Envoi sous 8 à 10 jours ouvrables

Aperçu rapide pour MED25 anticorps (AA 30-200) (ABIN7268442)

Antigène

Voir toutes MED25 Anticorps
MED25 (Mediator Complex Subunit 25 (MED25))

Reactivité

  • 22
  • 15
  • 6
  • 4
  • 4
  • 4
  • 2
  • 2
  • 2
  • 1
  • 1
  • 1
  • 1
  • 1
Humain

Hôte

  • 22
Lapin

Clonalité

  • 22
Polyclonal

Conjugué

  • 13
  • 3
  • 2
  • 2
  • 1
  • 1
Cet anticorp MED25 est non-conjugé

Application

  • 16
  • 11
  • 8
  • 3
  • 2
  • 2
  • 1
Western Blotting (WB), Immunofluorescence (IF)
  • Épitope

    • 13
    • 4
    • 2
    • 2
    • 1
    AA 30-200

    Fonction

    MED25 Rabbit pAb

    Séquence

    PYFEGLRKHY LLPAIEYFNG GPPAETDFGG DYGGTQYSLV VFNTVDCAPE SYVQCHAPTS SAYEFVTWLD GIKFMGGGGE SCSLIAEGLS TALQLFDDFK KMREQIGQTH RVCLLICNSP PYLLPAVEST TYSGCTTENL VQQIGERGIH FSIVSPRKLP ALRLLFEKAA P

     Réactivité croisée

    Humain, Souris, Rat

    Attributs du produit

    Polyclonal Antibodies

    Purification

    Affinity purification

    Immunogène

    Recombinant fusion protein containing a sequence corresponding to amino acids 30-200 of human MED25 (NP_112235.2).

    Isotype

    IgG
  • Indications d'application

    WB,1:500 - 1:2000,IF,1:50 - 1:200

    Restrictions

    For Research Use only
  • Format

    Liquid

    Buffer

    PBS with 0.02 % sodium azide,50 % glycerol, pH 7.3.

    Agent conservateur

    Sodium azide

    Précaution d'utilisation

    This product contains Sodium azide: a POISONOUS AND HAZARDOUS SUBSTANCE which should be handled by trained staff only.

    Stock

    -20 °C

    Stockage commentaire

    Store at -20°C. Avoid freeze / thaw cycles.
  • Antigène

    MED25 (Mediator Complex Subunit 25 (MED25))

    Autre désignation

    MED25

    Sujet

    This gene encodes a component of the transcriptional coactivator complex termed the Mediator complex. This complex is required for transcription of most RNA polymerase II-dependent genes. The encoded protein plays a role in chromatin modification and in preinitiation complex assembly. Mutations in this gene are associated with Charcot-Marie-Tooth disease type 2B2.,MED25,ACID1,ARC92,BVSYS,CMT2B2,P78,PTOV2,TCBAP0758,Epigenetics & Nuclear Signaling,MED25

    Poids moléculaire

    55kDa/76kDa/78kDa/82kDa/84kDa

    ID gène

    81857

    UniProt

    Q71SY5

    Pathways

    Nuclear Hormone Receptor Binding, Chromatin Binding, Regulation of Lipid Metabolism by PPARalpha, Production of Molecular Mediator of Immune Response
Vous êtes ici:
Chat with us!