Tel:
+49 (0)241 95 163 153
Fax:
+49 (0)241 95 163 155
E-Mail:
orders@anticorps-enligne.fr

MRPL46 anticorps (AA 1-279)

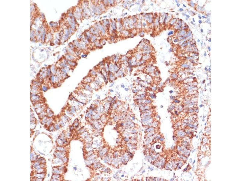
Cet anticorps anti-MRPL46 Polyclonal Lapin (ABIN7268574) détecte spécifiquement MRPL46 dans WB, IHC et IF. L’anticorps est réactif avec des échantillons de Humain.
N° du produit ABIN7268574
320,00 €
Plus frais de livraison 40,00 € et TVA
Destination: France
Envoi sous 8 à 10 jours ouvrables

Aperçu rapide pour MRPL46 anticorps (AA 1-279) (ABIN7268574)

Antigène

Voir toutes MRPL46 Anticorps
MRPL46 (Mitochondrial Ribosomal Protein L46 (MRPL46))

Reactivité

  • 24
  • 7
  • 6
  • 1
  • 1
  • 1
  • 1
  • 1
  • 1
Humain

Hôte

  • 22
  • 2
Lapin

Clonalité

  • 24
Polyclonal

Conjugué

  • 15
  • 3
  • 2
  • 2
  • 1
  • 1
Cet anticorp MRPL46 est non-conjugé

Application

  • 19
  • 16
  • 7
  • 1
  • 1
Western Blotting (WB), Immunohistochemistry (IHC), Immunofluorescence (IF)
  • Épitope

    • 8
    • 7
    • 3
    • 2
    • 1
    • 1
    • 1
    • 1
    AA 1-279

    Fonction

    MRPL46 Rabbit pAb

    Séquence

    MAAPVRRTLL GVAGGWRRFE RLWAGSLSSR SLALAAAPSS NGSPWRLLGA LCLQRPPVVS KPLTPLQEEM ASLLQQIEIE RSLYSDHELR ALDENQRLAK KKADLHDEED EQDILLAQDL EDMWEQKFLQ FKLGARITEA DEKNDRTSLN RKLDRNLVLL VREKFGDQDV WILPQAEWQP GETLRGTAER TLATLSENNM EAKFLGNAPC GHYTFKFPQA MRTESNLGAK VFFFKALLLT GDFSQAGNKG HHVWVTKDEL GDYLKPKYLA QVRRFVSDL

     Réactivité croisée

    Humain, Souris

    Attributs du produit

    Polyclonal Antibodies

    Purification

    Affinity purification

    Immunogène

    Recombinant fusion protein containing a sequence corresponding to amino acids 1-279 of human MRPL46 (NP_071446.2).

    Isotype

    IgG
  • Indications d'application

    WB,1:200 - 1:2000,IHC,1:50 - 1:200,IF,1:50 - 1:200

    Restrictions

    For Research Use only
  • Format

    Liquid

    Buffer

    PBS with 0.02 % sodium azide,50 % glycerol, pH 7.3.

    Agent conservateur

    Sodium azide

    Précaution d'utilisation

    This product contains Sodium azide: a POISONOUS AND HAZARDOUS SUBSTANCE which should be handled by trained staff only.

    Stock

    -20 °C

    Stockage commentaire

    Store at -20°C. Avoid freeze / thaw cycles.
  • Antigène

    MRPL46 (Mitochondrial Ribosomal Protein L46 (MRPL46))

    Autre désignation

    MRPL46

    Sujet

    Mammalian mitochondrial ribosomal proteins are encoded by nuclear genes and help in protein synthesis within the mitochondrion. Mitochondrial ribosomes (mitoribosomes) consist of a small 28S subunit and a large 39S subunit. They have an estimated 75 % protein to rRNA composition compared to prokaryotic ribosomes, where this ratio is reversed. Another difference between mammalian mitoribosomes and prokaryotic ribosomes is that the latter contain a 5S rRNA. Among different species, the proteins comprising the mitoribosome differ greatly in sequence, and sometimes in biochemical properties, which prevents easy recognition by sequence homology. This gene encodes a 39S subunit protein.,MRPL46,C15orf4,LIECG2,P2ECSL,Epigenetics & Nuclear Signaling,MRPL46

    Poids moléculaire

    31kDa

    ID gène

    26589

    UniProt

    Q9H2W6
Vous êtes ici:
Chat with us!