Tel:
+49 (0)241 95 163 153
Fax:
+49 (0)241 95 163 155
E-Mail:
orders@anticorps-enligne.fr

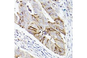
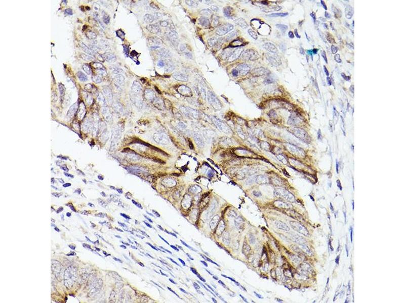
MUC5AC anticorps (C-Term)

Cet anticorps anti-MUC5AC Polyclonal Lapin (ABIN7268694) détecte spécifiquement MUC5AC dans WB, IHC et IF. L’anticorps est réactif avec des échantillons de Humain.
N° du produit ABIN7268694
320,00 €
Plus frais de livraison 40,00 € et TVA
Destination: France
Envoi sous 8 à 10 jours ouvrables

Aperçu rapide pour MUC5AC anticorps (C-Term) (ABIN7268694)

Antigène

Voir toutes MUC5AC Anticorps
MUC5AC (Mucin 5AC, Oligomeric Mucus/gel-Forming (MUC5AC))

Reactivité

  • 142
  • 80
  • 67
  • 40
  • 39
  • 38
  • 36
  • 25
  • 24
  • 16
  • 1
  • 1
Humain

Hôte

  • 83
  • 81
  • 1
Lapin

Clonalité

  • 104
  • 60
  • 1
Polyclonal

Conjugué

  • 71
  • 18
  • 9
  • 4
  • 4
  • 4
  • 4
  • 4
  • 4
  • 4
  • 3
  • 3
  • 3
  • 3
  • 3
  • 3
  • 2
  • 2
  • 2
  • 2
  • 2
  • 1
  • 1
  • 1
  • 1
  • 1
  • 1
  • 1
  • 1
  • 1
  • 1
  • 1
Cet anticorp MUC5AC est non-conjugé

Application

  • 87
  • 84
  • 51
  • 37
  • 31
  • 30
  • 22
  • 19
  • 18
  • 18
  • 13
  • 13
  • 12
  • 12
  • 5
  • 4
  • 3
  • 2
  • 1
  • 1
Western Blotting (WB), Immunohistochemistry (IHC), Immunofluorescence (IF)
  • Épitope

    • 15
    • 7
    • 5
    • 3
    • 3
    • 3
    • 3
    • 3
    • 3
    • 3
    • 3
    • 2
    • 2
    • 2
    • 1
    • 1
    • 1
    C-Term

    Fonction

    MUC5A Rabbit pAb

    Séquence

    PLSCSLDEAR MSKDGCCRFC PPPPPPYQNQ STCAVYHRSL IIQQQGCSSS EPVRLAYCRG NCGDSSSMYS LEGNTVEHRC QCCQELRTSL RNVTLHCTDG SSRAFSYTEV EECGCMGRRC PAPGDTQHSE EAEPEPSQEA ESGSWERGVP VSPMH

     Réactivité croisée

    Humain, Souris, Rat

    Attributs du produit

    Polyclonal Antibodies

    Purification

    Affinity purification

    Immunogène

    A synthetic peptide corresponding to a sequence within amino acids 5500 to the C-terminus of human MUC5A (NP_001291288.1).

    Isotype

    IgG
  • Indications d'application

    WB,1:500 - 1:2000,IHC,1:50 - 1:200,IF,1:50 - 1:200

    Restrictions

    For Research Use only
  • Format

    Liquid

    Buffer

    PBS with 0.02 % sodium azide,50 % glycerol, pH 7.3.

    Agent conservateur

    Sodium azide

    Précaution d'utilisation

    This product contains Sodium azide: a POISONOUS AND HAZARDOUS SUBSTANCE which should be handled by trained staff only.

    Stock

    -20 °C

    Stockage commentaire

    Store at -20°C. Avoid freeze / thaw cycles.
  • Antigène

    MUC5AC (Mucin 5AC, Oligomeric Mucus/gel-Forming (MUC5AC))

    Autre désignation

    MUC5AC

    Sujet

    Gel-forming glycoprotein of gastric and respiratory tract epithelia that protects the mucosa from infection and chemical damage by binding to inhaled microorganisms and particles that are subsequently removed by the mucociliary system. Interacts with H.pylori in the gastric epithelium, Barrett's esophagus as well as in gastric metaplasia of the duodenum (GMD.,MUC5AC,MUC5,TBM,leB,mucin,mucin-5AC,MUC5A,Cancer,Tumor immunology,Tumor-associated antigens,Tumor biomarkers,Invasion and Metastasis,Signal Transduction,Cell Biology & Developmental Biology,Cytoskeleton,Extracellular Matrix,Immunology & Inflammation,MUC5AC

    Poids moléculaire

    585kDa

    ID gène

    4586

    UniProt

    P98088
Vous êtes ici:
Chat with us!