Tel:
+49 (0)241 95 163 153
Fax:
+49 (0)241 95 163 155
E-Mail:
orders@anticorps-enligne.fr

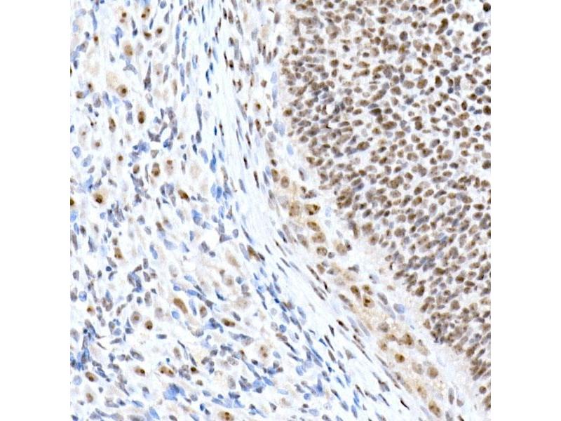
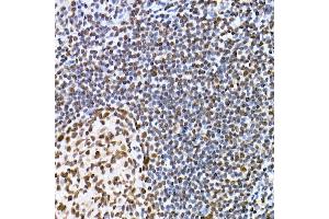
Nucleolin anticorps

L’anticorps anti-Nucleolin Monoclonal Lapin est utilisé pour la détection de Nucleolin dans des échantillons de Humain. Il a été validé pour WB et IHC.
N° du produit ABIN7269035
330,00 €
Plus frais de livraison 40,00 € et TVA
Destination: France
Envoi sous 8 à 10 jours ouvrables

Aperçu rapide pour Nucleolin anticorps (ABIN7269035)

Antigène

Voir toutes Nucleolin (NCL) Anticorps
Nucleolin (NCL)

Reactivité

  • 173
  • 46
  • 45
  • 11
  • 10
  • 10
  • 10
  • 9
  • 7
  • 6
  • 5
  • 4
  • 3
  • 1
  • 1
  • 1
  • 1
  • 1
  • 1
  • 1
Humain

Hôte

  • 127
  • 49
  • 1
  • 1
Lapin

Clonalité

  • 96
  • 82
Monoclonal

Conjugué

  • 93
  • 13
  • 5
  • 4
  • 4
  • 4
  • 4
  • 4
  • 4
  • 4
  • 4
  • 3
  • 3
  • 3
  • 3
  • 2
  • 2
  • 2
  • 2
  • 2
  • 2
  • 1
  • 1
  • 1
  • 1
  • 1
  • 1
  • 1
  • 1
  • 1
  • 1
  • 1
Cet anticorp Nucleolin est non-conjugé

Application

  • 140
  • 101
  • 70
  • 49
  • 33
  • 30
  • 18
  • 17
  • 15
  • 14
  • 13
  • 7
  • 5
  • 3
  • 2
  • 1
  • 1
  • 1
Western Blotting (WB), Immunohistochemistry (IHC)
  • Fonction

    Nucleolin Rabbit mAb

     Réactivité croisée

    Humain, Souris, Rat

    Attributs du produit

    Monoclonal Antibodies

    Purification

    Affinity purification

    Immunogène

    Recombinant protein of Human Nucleolin.

    Isotype

    IgG
  • Indications d'application

    WB,1:500 - 1:2000,IHC,1:50 - 1:200

    Restrictions

    For Research Use only
  • Format

    Liquid

    Buffer

    PBS with 0.02 % sodium azide,0.05 % BSA,50 % glycerol, pH 7.3.

    Agent conservateur

    Sodium azide

    Précaution d'utilisation

    This product contains Sodium azide: a POISONOUS AND HAZARDOUS SUBSTANCE which should be handled by trained staff only.

    Stock

    -20 °C

    Stockage commentaire

    Store at -20°C. Avoid freeze / thaw cycles.
  • Antigène

    Nucleolin (NCL)

    Autre désignation

    Nucleolin

    Sujet

    Nucleolin (NCL), a eukaryotic nucleolar phosphoprotein, is involved in the synthesis and maturation of ribosomes. It is located mainly in dense fibrillar regions of the nucleolus. Human NCL gene consists of 14 exons with 13 introns and spans approximately 11kb. The intron 11 of the NCL gene encodes a small nucleolar RNA, termed U20.,NCL,C23,Nsr1,nucleolin,Epigenetics & Nuclear Signaling,RNA Binding,Cardiovascular,Angiogenesis,Nucleolin

    Poids moléculaire

    76kDa

    ID gène

    4691

    UniProt

    P19338

    Pathways

    Ribonucleoprotein Complex Subunit Organization
Vous êtes ici:
Chat with us!