OSBPL1A anticorps
Aperçu rapide pour OSBPL1A anticorps (ABIN7269136)
Antigène
Voir toutes OSBPL1A AnticorpsReactivité
Hôte
Clonalité
Conjugué
Application
-
-
Fonction
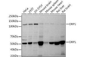
- ORP1 Rabbit mAb
-
Réactivité croisée
- Humain, Souris, Rat
-
Attributs du produit
- Monoclonal Antibodies
-
Purification
- Affinity purification
-
Immunogène
- A synthesized peptide derived from human ORP1.
-
Isotype
- IgG
-
-
-
-
Indications d'application
- WB,1:500 - 1:2000
-
Restrictions
- For Research Use only
-
-
-
Format
- Liquid
-
Buffer
- PBS with 0.02 % sodium azide,50 % glycerol, pH 7.3.
-
Agent conservateur
- Sodium azide
-
Précaution d'utilisation
- This product contains Sodium azide: a POISONOUS AND HAZARDOUS SUBSTANCE which should be handled by trained staff only.
-
Stock
- -20 °C
-
Stockage commentaire
- Store at -20°C. Avoid freeze / thaw cycles.
-
-
- OSBPL1A (Oxysterol Binding Protein-Like 1A (OSBPL1A))
-
Autre désignation
- ORP1
-
Sujet
- This gene encodes a member of the oxysterol-binding protein (OSBP) family, a group of intracellular lipid receptors. Most members contain an N-terminal pleckstrin homology domain and a highly conserved C-terminal OSBP-like sterol-binding domain, although some members contain only the sterol-binding domain. Transcript variants derived from alternative promoter usage and/or alternative splicing exist, they encode different isoforms. [provided by RefSeq, Jul 2008],ORP1
-
Poids moléculaire
- 50,108kDa
-
ID gène
- 114876
-
UniProt
- Q9BXW6
Antigène
-