Tel:
+49 (0)241 95 163 153
Fax:
+49 (0)241 95 163 155
E-Mail:
orders@anticorps-enligne.fr

PGAM5 anticorps (AA 30-225)

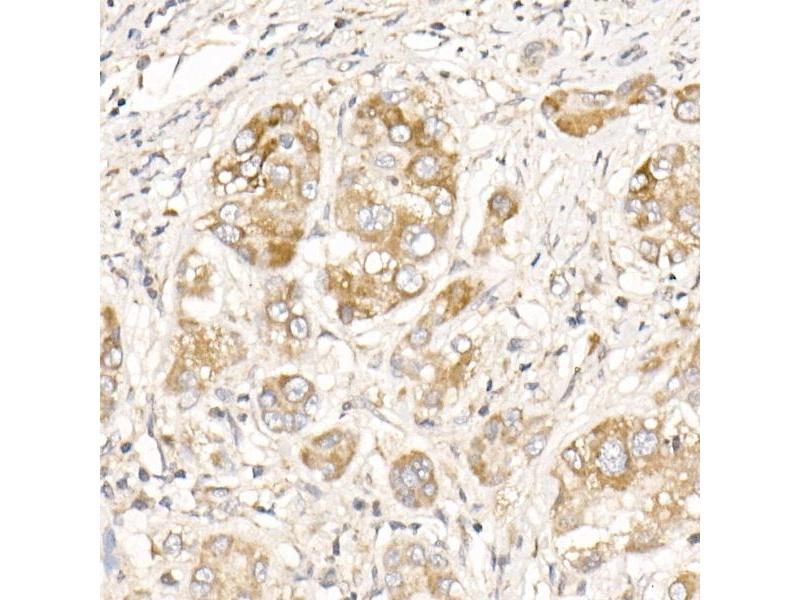
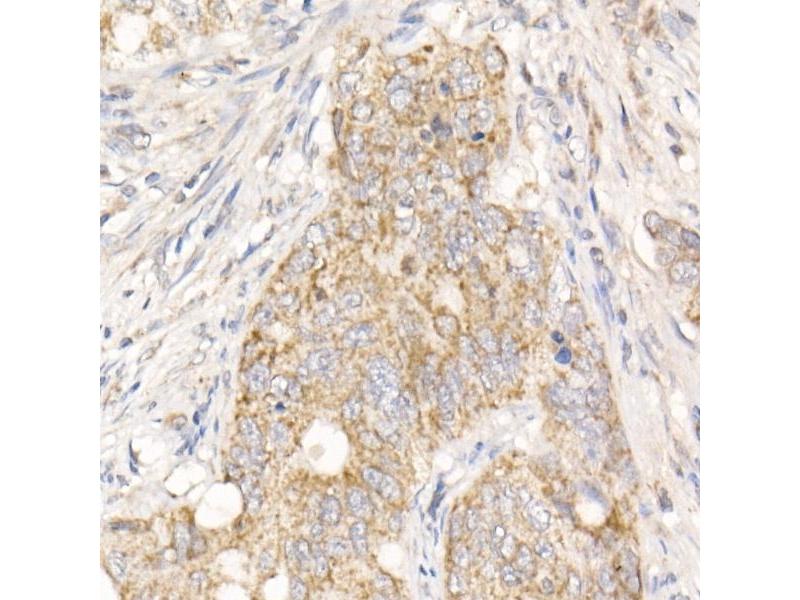
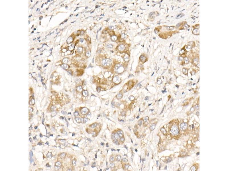
L’anticorps anti-PGAM5 Polyclonal Lapin est utilisé pour la détection de PGAM5 dans des échantillons de Humain. Il a été validé pour IHC et WB.
N° du produit ABIN7269317
320,00 €
Plus frais de livraison 40,00 € et TVA
Destination: France
Envoi sous 8 à 10 jours ouvrables

Aperçu rapide pour PGAM5 anticorps (AA 30-225) (ABIN7269317)

Antigène

Voir toutes PGAM5 Anticorps
PGAM5 (Phosphoglycerate Mutase Family Member 5 (PGAM5))

Reactivité

  • 10
  • 3
  • 3
Humain

Hôte

  • 10
Lapin

Clonalité

  • 10
Polyclonal

Conjugué

  • 6
  • 2
  • 1
  • 1
Cet anticorp PGAM5 est non-conjugé

Application

  • 7
  • 5
  • 3
  • 2
  • 1
  • 1
Immunohistochemistry (IHC), Western Blotting (WB)
  • Épitope

    • 5
    • 1
    • 1
    AA 30-225

    Fonction

    PGAM5 Rabbit pAb

    Séquence

    KPRAGGDAEP RPAEPPAWAG GARPGPGVWD PNWDRREPLS LINVRKRNVE SGEEELASKL DHYKAKATRH IFLIRHSQYH VDGSLEKDRT LTPLGREQAE LTGLRLASLG LKFNKIVHSS MTRAIETTDI ISRHLPGVCK VSTDLLREGA PIEPDPPVSH WKPEAVQYYE DGARIEAAFR NYIHRADARQ EEDSYE

     Réactivité croisée

    Humain, Souris, Rat

    Attributs du produit

    Polyclonal Antibodies

    Purification

    Affinity purification

    Immunogène

    Recombinant fusion protein containing a sequence corresponding to amino acids 30-225 of human PGAM5 (NP_612642.2).

    Isotype

    IgG
  • Indications d'application

    WB,1:500 - 1:2000,IHC,1:50 - 1:200

    Restrictions

    For Research Use only
  • Format

    Liquid

    Buffer

    PBS with 0.02 % sodium azide,50 % glycerol, pH 7.3.

    Agent conservateur

    Sodium azide

    Précaution d'utilisation

    This product contains Sodium azide: a POISONOUS AND HAZARDOUS SUBSTANCE which should be handled by trained staff only.

    Stock

    -20 °C

    Stockage commentaire

    Store at -20°C. Avoid freeze / thaw cycles.
  • Antigène

    PGAM5 (Phosphoglycerate Mutase Family Member 5 (PGAM5))

    Autre désignation

    PGAM5

    Sujet

    Displays phosphatase activity for serine/threonine residues, and, dephosphorylates and activates MAP3K5 kinase. Has apparently no phosphoglycerate mutase activity. May be regulator of mitochondrial dynamics. Substrate for a KEAP1-dependent ubiquitin ligase complex. Contributes to the repression of NFE2L2-dependent gene expression. Acts as a central mediator for programmed necrosis induced by TNF, by reactive oxygen species and by calcium ionophore.,PGAM5,BXLBV68,Signal Transduction,PGAM5

    Poids moléculaire

    28kDa/32kDa

    ID gène

    192111

    UniProt

    Q96HS1
Vous êtes ici:
Chat with us!