×
Pour une meilleure utilisation, nous vous conseillons d’activer Javascript dans votre navigateur.
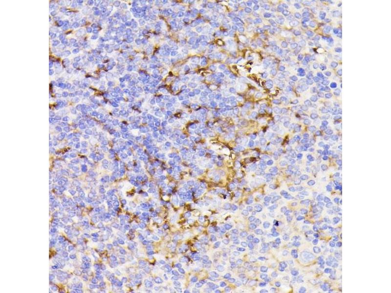
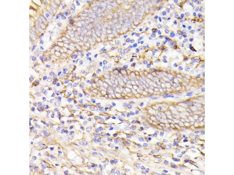
PSMG1 anticorps (AA 1-288)
L’anticorps anti-PSMG1 Polyclonal Lapin est utilisé pour la détection de PSMG1 dans des échantillons de Humain. Il a été validé pour WB et IHC.
N° du produit ABIN7269593
320,00 €
Plus frais de livraison 40,00 € et TVA
20 μL ABIN7530380
100 μL ABIN7269593
500 μL ABIN7747227
1000 μL ABIN7747229
20 μL ABIN7530380
100 μL ABIN7269593
500 μL ABIN7747227
1000 μL ABIN7747229
Envoi sous 8 à 10 jours ouvrables
Aperçu rapide pour PSMG1 anticorps (AA 1-288) (ABIN7269593)
Antigène
Voir toutes PSMG1 Anticorps
PSMG1
(Proteasome (Prosome, Macropain) Assembly Chaperone 1 (PSMG1))
Reactivité
Toutes les réactivités sur PSMG1 Anticorps
Humain
Hôte
Toutes les hôtes sur PSMG1 Anticorps
Lapin
Clonalité
Toutes les clonalités sur PSMG1 Anticorps
Polyclonal
Conjugué
Tous les conjugués à travers PSMG1 Anticorps
Cet anticorp PSMG1 est non-conjugé
Application
Tous les applications à travers PSMG1 Anticorps.
Western Blotting (WB), Immunohistochemistry (IHC)
Détail du produit anti-PSMG1 anticorps
(cache)
Épitope
Tous les épitopes à travers PSMG1 Anticorps.
AA 1-288
Fonction
PSMG1 Rabbit pAb
Séquence
MAATFFGEVV KAPCRAGTED EEEEEEGRRE TPEDREVRLQ LARKREVRLL RRQTKTSLEV SLLEKYPCSK FIIAIGNNAV AFLSSFVMNS GVWEEVGCAK LWNEWCRTTD TTHLSSTEAF CVFYHLKSNP SVFLCQCSCY VAEDQQYQWL EKVFGSCPRK NMQITILTCR HVTDYKTSES TGSLPSPFLR ALKTQNFKDS ACCPLLEQPN IVHDLPAAVL SYCQVWKIPA ILYLCYTDVM KLDLITVEAF KPILSTRSLK GLVKNIPQST EILKKLMTTN EIQSNIYT
Réactivité croisée
Humain, Souris, Rat
Attributs du produit
Polyclonal Antibodies
Purification
Affinity purification
Immunogène
Recombinant fusion protein containing a sequence corresponding to amino acids 1-288 of human PSMG1 (NP_003711.1).
Isotype
IgG
Alternatives
(show)
Information d'application
(cache)
Indications d'application
WB,1:200 - 1:2000,IHC,1:50 - 1:200
Restrictions
For Research Use only
Stockage
(cache)
Format
Liquid
Buffer
PBS with 0.02 % sodium azide,50 % glycerol, pH 7.3.
Agent conservateur
Sodium azide
Précaution d'utilisation
This product contains Sodium azide: a POISONOUS AND HAZARDOUS SUBSTANCE which should be handled by trained staff only.
Stock
-20 °C
Stockage commentaire
Store at -20°C. Avoid freeze / thaw cycles.
Détails sur PSMG1
(cache)
Antigène
PSMG1
(Proteasome (Prosome, Macropain) Assembly Chaperone 1 (PSMG1))
Autre désignation
PSMG1
Sujet
Chaperone protein which promotes assembly of the 20S proteasome as part of a heterodimer with PSMG2. The PSMG1-PSMG2 heterodimer binds to the PSMA5 and PSMA7 proteasome subunits, promotes assembly of the proteasome alpha subunits into the heteroheptameric alpha ring and prevents alpha ring dimerization.,PSMG1,C21LRP,DSCR2,LRPC21,PAC-1,PAC1,Signal Transduction,Cell Biology & Developmental Biology,Ubiquitin,PSMG1
Poids moléculaire
30kDa/32kDa
ID gène
8624
UniProt
O95456
Vus récemment
(cache)
Chat with us , powered by LiveChat