PDIA3 anticorps
Aperçu rapide pour PDIA3 anticorps (ABIN7269613)
Antigène
Voir toutes PDIA3 AnticorpsReactivité
Hôte
Clonalité
Conjugué
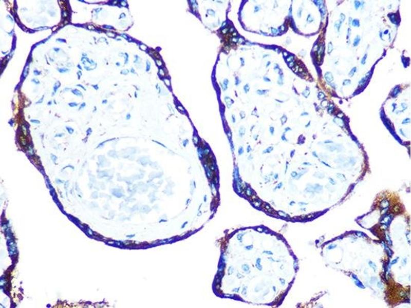
Application
-
-
Fonction
- ERp57 Rabbit mAb
-
Réactivité croisée
- Humain
-
Attributs du produit
- Monoclonal Antibodies
-
Purification
- Affinity purification
-
Immunogène
- A synthesized peptide derived from human ERp57
-
Isotype
- IgG
-
-
-
-
Indications d'application
- WB,1:500 - 1:2000,IHC,1:50 - 1:200
-
Restrictions
- For Research Use only
-
-
-
Format
- Liquid
-
Buffer
- PBS with 0.02 % sodium azide,0.05 % BSA,50 % glycerol, pH 7.3.
-
Agent conservateur
- Sodium azide
-
Précaution d'utilisation
- This product contains Sodium azide: a POISONOUS AND HAZARDOUS SUBSTANCE which should be handled by trained staff only.
-
Stock
- -20 °C
-
Stockage commentaire
- Store at -20°C. Avoid freeze / thaw cycles.
-
-
- PDIA3 (Protein Disulfide Isomerase Family A, Member 3 (PDIA3))
-
Autre désignation
- PDIA3
-
Sujet
- This gene encodes a protein of the endoplasmic reticulum that interacts with lectin chaperones calreticulin and calnexin to modulate folding of newly synthesized glycoproteins. The protein was once thought to be a phospholipase, however, it has been demonstrated that the protein actually has protein disulfide isomerase activity. It is thought that complexes of lectins and this protein mediate protein folding by promoting formation of disulfide bonds in their glycoprotein substrates. This protein also functions as a molecular chaperone that prevents the formation of protein aggregates. [provided by RefSeq, Dec 2016],ER60, ERp57, ERp60, ERp61, GRP57, GRP58, HEL-S-269, HEL-S-93n, HsT17083, P58, PI-PLC,Apoptosis,Cell Biology & Developmental Biology,Epigenetics & Nuclear Signaling,RNA Binding,Signal Transduction,PDIA3
-
Poids moléculaire
- 57kDa
-
ID gène
- 2923
-
UniProt
- P30101
-
Pathways
- Maintenance of Protein Location, Protein targeting to Nucleus, Cell RedoxHomeostasis
Antigène
-