SRSF1 anticorps
Aperçu rapide pour SRSF1 anticorps (ABIN7270213)
Antigène
Voir toutes SRSF1 AnticorpsReactivité
Hôte
Clonalité
Conjugué
Application
-
-
Fonction
- SRSF1/SF2/ASF Rabbit mAb
-
Réactivité croisée
- Humain, Souris, Rat
-
Attributs du produit
- Monoclonal Antibodies
-
Purification
- Affinity purification
-
Immunogène
- A synthesized peptide derived from human SRSF1/SRSF1/SF2/ASF
-
Isotype
- IgG
-
-
-
-
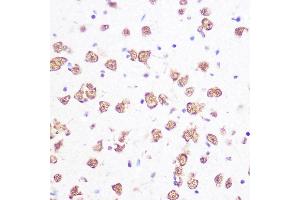
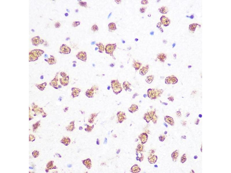
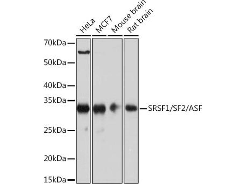
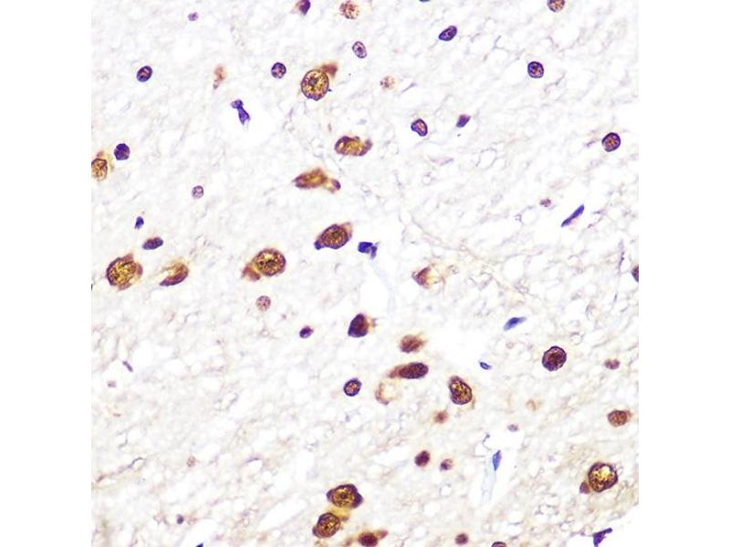
Indications d'application
- WB,1:500 - 1:2000,IHC,1:50 - 1:200
-
Restrictions
- For Research Use only
-
-
-
Format
- Liquid
-
Buffer
- PBS with 0.02 % sodium azide,0.05 % BSA,50 % glycerol, pH 7.3.
-
Agent conservateur
- Sodium azide
-
Précaution d'utilisation
- This product contains Sodium azide: a POISONOUS AND HAZARDOUS SUBSTANCE which should be handled by trained staff only.
-
Stock
- -20 °C
-
Stockage commentaire
- Store at -20°C. Avoid freeze / thaw cycles.
-
-
- SRSF1 (serine/arginine-Rich Splicing Factor 1 (SRSF1))
-
Autre désignation
- SRSF1
-
Sujet
- This gene encodes a member of the arginine/serine-rich splicing factor protein family. The encoded protein can either activate or repress splicing, depending on its phosphorylation state and its interaction partners. Multiple transcript variants have been found for this gene. There is a pseudogene of this gene on chromosome 13. [provided by RefSeq, Jun 2014],ASF, SF2, SF2p33, SFRS1, SRp30a,Epigenetics & Nuclear Signaling,SRSF1
-
Poids moléculaire
- 33kDa
-
ID gène
- 6426
-
UniProt
- Q07955
-
Pathways
- Ribonucleoprotein Complex Subunit Organization
Antigène
-