×
Pour une meilleure utilisation, nous vous conseillons d’activer Javascript dans votre navigateur.
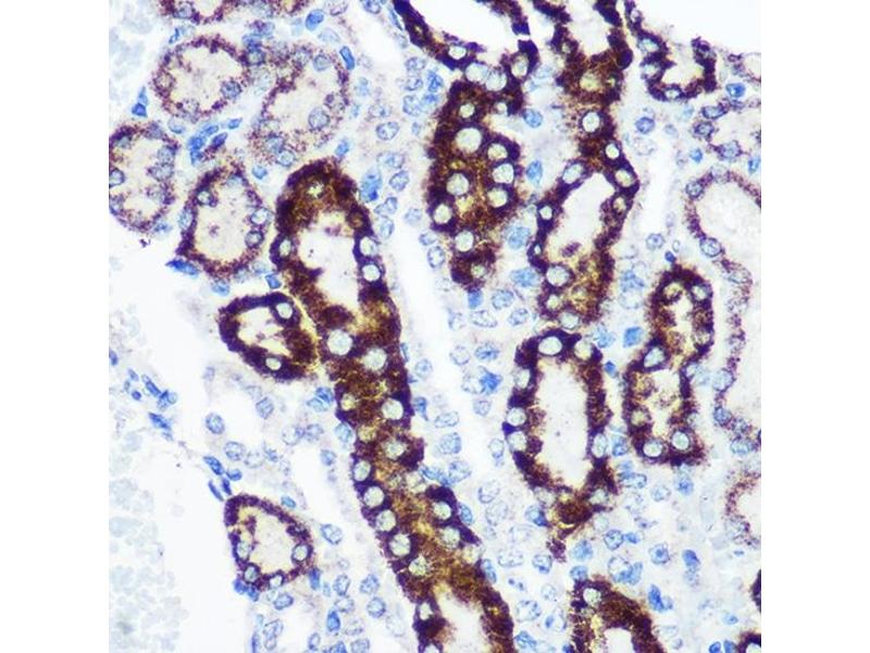
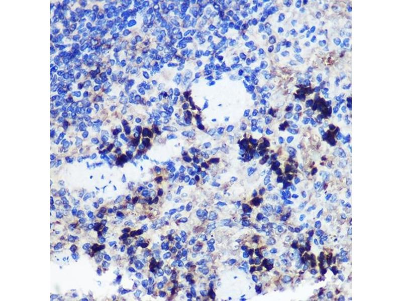
FCHSD1 anticorps (AA 100-400)
Cet anticorps anti-FCHSD1 Polyclonal Lapin (ABIN7270317) détecte spécifiquement FCHSD1 dans WB et IHC.
L’anticorps est réactif avec des échantillons de Humain.
N° du produit ABIN7270317
320,00 €
Plus frais de livraison 40,00 € et TVA
20 μL ABIN7530562
100 μL ABIN7270317
500 μL ABIN7748737
1000 μL ABIN7748740
20 μL ABIN7530562
100 μL ABIN7270317
500 μL ABIN7748737
1000 μL ABIN7748740
Envoi sous 8 à 10 jours ouvrables
Aperçu rapide pour FCHSD1 anticorps (AA 100-400) (ABIN7270317)
Antigène
FCHSD1
(Similar To FCH and Double SH3 Domains 1 (FCHSD1))
Reactivité
Toutes les réactivités sur FCHSD1 Anticorps
Humain
Hôte
Toutes les hôtes sur FCHSD1 Anticorps
Lapin
Clonalité
Toutes les clonalités sur FCHSD1 Anticorps
Polyclonal
Conjugué
Tous les conjugués à travers FCHSD1 Anticorps
Cet anticorp FCHSD1 est non-conjugé
Application
Tous les applications à travers FCHSD1 Anticorps.
Western Blotting (WB), Immunohistochemistry (IHC)
Détail du produit anti-FCHSD1 anticorps
(cache)
Épitope
Tous les épitopes à travers FCHSD1 Anticorps.
AA 100-400
Fonction
FCHSD1 Rabbit pAb
Séquence
RLQASDRYRD LAGGTGRSAK EQVLRKGTEN LQRAQAEVLQ SVRELSRSRK LYGQRERVWA LAQEKAADVQ ARLNRSDHGI FHSRTSLQKL STKLSAQSAQ YSQQLQAARN EYLLNLVATN AHLDHYYQEE LPALLKALVS ELSEHLRDPL TSLSHTELEA AEVILEHAHR GEQTTSQVSW EQDLKLFLQE PGVFSPTPPQ QFQPAGTDQV CVLEWGAEGV AGKSGLEKEV QRLTSRAARD YKIQNHGHRV LQRLEQRRQQ ASEREAPSIE QRLQEVRESI RRAQVSQVKG AARLALLQGA G
Réactivité croisée
Humain, Souris, Rat
Attributs du produit
Polyclonal Antibodies
Purification
Affinity purification
Immunogène
Recombinant fusion protein containing a sequence corresponding to amino acids 100-400 of human FCHSD1 (NP_258260.1).
Isotype
IgG
Alternatives
(show)
Information d'application
(cache)
Indications d'application
WB,1:200 - 1:2000,IHC,1:50 - 1:200
Restrictions
For Research Use only
Stockage
(cache)
Format
Liquid
Buffer
PBS with 0.02 % sodium azide,50 % glycerol, pH 7.3.
Agent conservateur
Sodium azide
Précaution d'utilisation
This product contains Sodium azide: a POISONOUS AND HAZARDOUS SUBSTANCE which should be handled by trained staff only.
Stock
-20 °C
Stockage commentaire
Store at -20°C. Avoid freeze / thaw cycles.
Détails sur FCHSD1
(cache)
Antigène
FCHSD1
(Similar To FCH and Double SH3 Domains 1 (FCHSD1))
Autre désignation
FCHSD1
Sujet
Promotes actin polymerization mediated by SNX9 and WASL.,FCHSD1,NWK2,Cell Biology & Developmental Biology,FCHSD1
Poids moléculaire
40kDa/46kDa/76kDa
ID gène
89848
UniProt
Q86WN1
Vus récemment
(cache)
Chat with us , powered by LiveChat