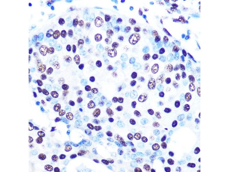
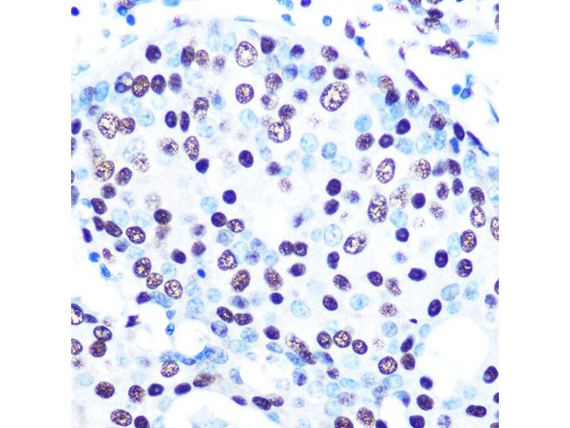
SFPQ anticorps
Aperçu rapide pour SFPQ anticorps (ABIN7270547)
Antigène
Voir toutes SFPQ AnticorpsReactivité
Hôte
Clonalité
Conjugué
Application
-
-
Fonction
- SFPQ Rabbit mAb
-
Réactivité croisée
- Humain, Souris, Rat
-
Attributs du produit
- Monoclonal Antibodies
-
Purification
- Affinity purification
-
Immunogène
- A synthesized peptide derived from human SFPQ
-
Isotype
- IgG
-
-
-
-
Indications d'application
- IHC,1:50 - 1:200, IF,1:50 - 1:200
-
Restrictions
- For Research Use only
-
-
-
Format
- Liquid
-
Buffer
- PBS with 0.02 % sodium azide,0.05 % BSA,50 % glycerol, pH 7.3.
-
Agent conservateur
- Sodium azide
-
Précaution d'utilisation
- This product contains Sodium azide: a POISONOUS AND HAZARDOUS SUBSTANCE which should be handled by trained staff only.
-
Stock
- -20 °C
-
Stockage commentaire
- Store at -20°C. Avoid freeze / thaw cycles.
-
-
- SFPQ (Splicing Factor Proline/glutamine-Ric (SFPQ))
-
Autre désignation
- SFPQ
-
Sujet
- POMP100, PPP1R140, PSF,Epigenetics & Nuclear Signaling,RNA Binding,SFPQ
-
Poids moléculaire
- 100kDa
-
ID gène
- 6421
-
UniProt
- P23246
Antigène
-