Tel:
+49 (0)241 95 163 153
Fax:
+49 (0)241 95 163 155
E-Mail:
orders@anticorps-enligne.fr

ODZ1/Teneurin 1 anticorps (AA 350-540)

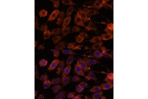
Cet anticorps anti-ODZ1/Teneurin 1 Polyclonal Lapin (ABIN7270767) détecte spécifiquement ODZ1/Teneurin 1 dans WB et IF. L’anticorps est réactif avec des échantillons de Humain.
N° du produit ABIN7270767
320,00 €
Plus frais de livraison 40,00 € et TVA
Destination: France
Envoi sous 8 à 10 jours ouvrables

Aperçu rapide pour ODZ1/Teneurin 1 anticorps (AA 350-540) (ABIN7270767)

Antigène

Voir toutes ODZ1/Teneurin 1 (TENM1) Anticorps
ODZ1/Teneurin 1 (TENM1) (Teneurin Transmembrane Protein 1 (TENM1))

Reactivité

  • 11
  • 2
  • 1
Humain

Hôte

  • 7
  • 3
  • 1
Lapin

Clonalité

  • 9
  • 2
Polyclonal

Conjugué

  • 8
  • 1
  • 1
  • 1
Cet anticorp ODZ1/Teneurin 1 est non-conjugé

Application

  • 9
  • 6
  • 3
  • 2
  • 1
  • 1
Western Blotting (WB), Immunofluorescence (IF)
  • Épitope

    • 4
    • 3
    • 1
    • 1
    AA 350-540

    Fonction

    TENM1 Rabbit pAb

    Séquence

    QPVEGELYAN GVSKGNRGTE SMDTTYSPIG GKVSDKSEKK VFQKGRAIDT GEVDIGAQVM QTIPPGLFWR FQITIHHPIY LKFNISLAKD SLLGIYGRRN IPPTHTQFDF VKLMDGKQLV KQDSKGSDDT QHSPRNLILT SLQETGFIEY MDQGPWYLAF YNDGKKMEQV FVLTTAIEIM DDCSTNCNGN G

     Réactivité croisée

    Humain, Souris, Rat

    Attributs du produit

    Polyclonal Antibodies

    Purification

    Affinity purification

    Immunogène

    Recombinant fusion protein containing a sequence corresponding to amino acids 350-540 of human TENM1 (NP_001156750.1).

    Isotype

    IgG
  • Indications d'application

    WB,1:500 - 1:2000,IF,1:50 - 1:200

    Restrictions

    For Research Use only
  • Format

    Liquid

    Buffer

    PBS with 0.02 % sodium azide,50 % glycerol, pH 7.3.

    Agent conservateur

    Sodium azide

    Précaution d'utilisation

    This product contains Sodium azide: a POISONOUS AND HAZARDOUS SUBSTANCE which should be handled by trained staff only.

    Stock

    -20 °C

    Stockage commentaire

    Store at -20°C. Avoid freeze / thaw cycles.
  • Antigène

    ODZ1/Teneurin 1 (TENM1) (Teneurin Transmembrane Protein 1 (TENM1))

    Autre désignation

    TENM1

    Sujet

    The protein encoded by this gene belongs to the tenascin family and teneurin subfamily. It is expressed in the neurons and may function as a cellular signal transducer. Several alternatively spliced transcript variants encoding different isoforms have been found for this gene.,TENM1,ODZ1,ODZ3,TEN-M1,TNM,TNM1,TENM1

    Poids moléculaire

    305kDa

    ID gène

    10178

    UniProt

    Q9UKZ4

    Pathways

    Regulation of Actin Filament Polymerization
Vous êtes ici:
Chat with us!