Tel:
+49 (0)241 95 163 153
Fax:
+49 (0)241 95 163 155
E-Mail:
orders@anticorps-enligne.fr

TEX101 anticorps

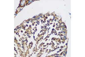
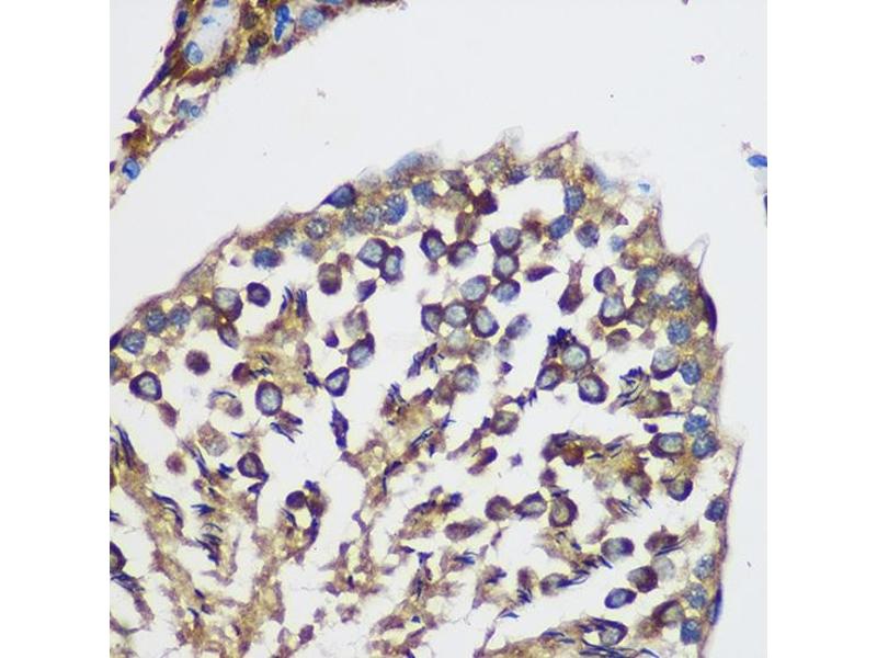
Cet anticorps anti-TEX101 Polyclonal Lapin (ABIN7270773) détecte spécifiquement TEX101 dans WB et IHC. L’anticorps est réactif avec des échantillons de Humain.
N° du produit ABIN7270773
416,00 €
Plus frais de livraison 40,00 € et TVA
Destination: France
Envoi sous 8 à 10 jours ouvrables

Aperçu rapide pour TEX101 anticorps (ABIN7270773)

Antigène

TEX101 (Testis Expressed 101 (TEX101))

Reactivité

  • 6
  • 1
Humain

Hôte

  • 5
  • 2
Lapin

Clonalité

  • 7
Polyclonal

Conjugué

  • 7
Cet anticorp TEX101 est non-conjugé

Application

  • 6
  • 1
  • 1
Western Blotting (WB), Immunohistochemistry (IHC)
  • Fonction

    TEX101 Rabbit pAb

     Réactivité croisée

    Humain, Souris, Rat

    Attributs du produit

    Polyclonal Antibodies

    Purification

    Affinity purification

    Immunogène

    Recombinant protein of human TEX101.

    Isotype

    IgG
  • Indications d'application

    WB,1:500 - 1:2000,IHC,1:50 - 1:200

    Restrictions

    For Research Use only
  • Format

    Liquid

    Buffer

    PBS with 0.02 % sodium azide,50 % glycerol, pH 7.3.

    Agent conservateur

    Sodium azide

    Précaution d'utilisation

    This product contains Sodium azide: a POISONOUS AND HAZARDOUS SUBSTANCE which should be handled by trained staff only.

    Stock

    -20 °C

    Stockage commentaire

    Store at -20°C. Avoid freeze / thaw cycles.
  • Antigène

    TEX101 (Testis Expressed 101 (TEX101))

    Autre désignation

    TEX101

    Sujet

    Plays a role in fertilization by controlling binding of sperm to zona pellucida and migration of spermatozoa into the oviduct (By similarity. May play a role in signal transduction and promote protein tyrosine phosphorylation (By similarity.,CT131,GTPR867,NYD-SP8,PRO1884,SGRG,SPATA44,TES101RP,TEX101,Immunology & Inflammation,TEX101

    ID gène

    83639

    UniProt

    Q9BY14
Vous êtes ici:
Chat with us!